

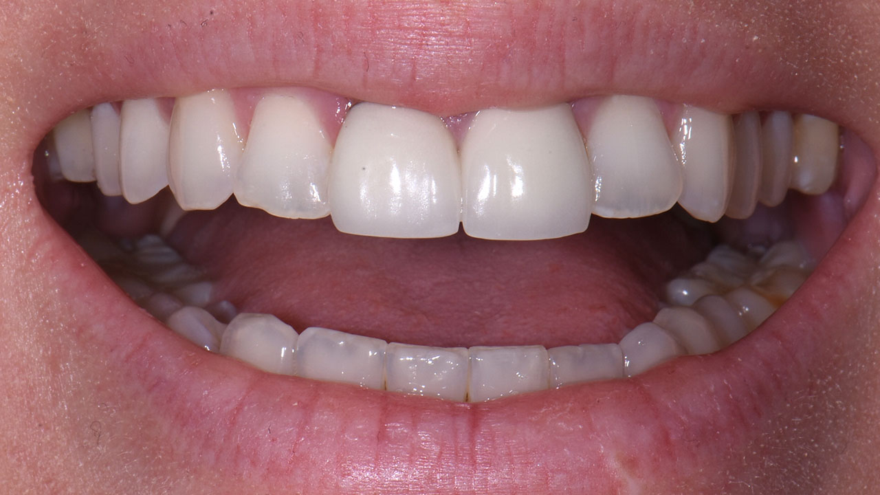
Concern
This young adult patient had fractured her two front teeth as a child. The teeth were initially repaired with bonded fillings and later restored with crowns during early adulthood. As growth and development continued, the position of the teeth and gums changed slightly, exposing the junction between the crowns and the natural teeth. She began to notice that the two front teeth looked uneven in size and that the crowns appeared opaque compared to the surrounding teeth.
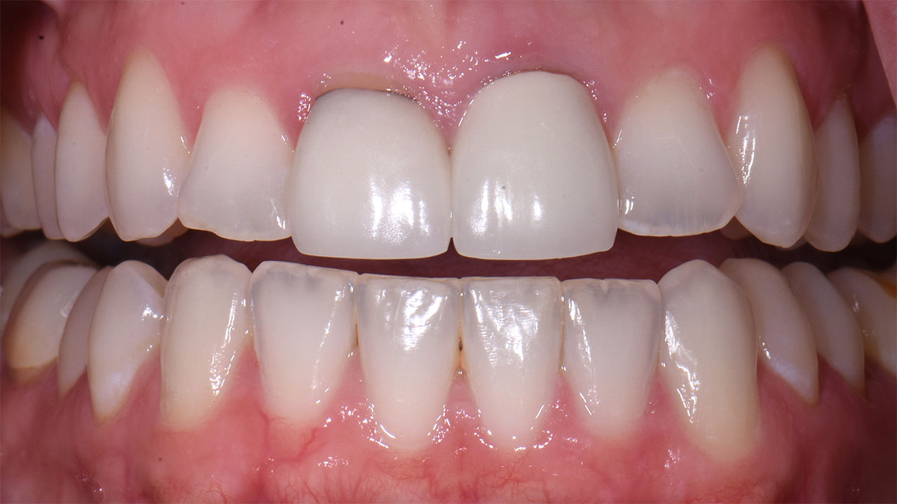
Treatment
The two existing crowns were replaced with modern all-ceramic crowns designed to better match the natural color, translucency, and proportions of the adjacent teeth.
Procedures
Replacement of two upper front crowns with all-ceramic restorations.
Time
3 weeks.
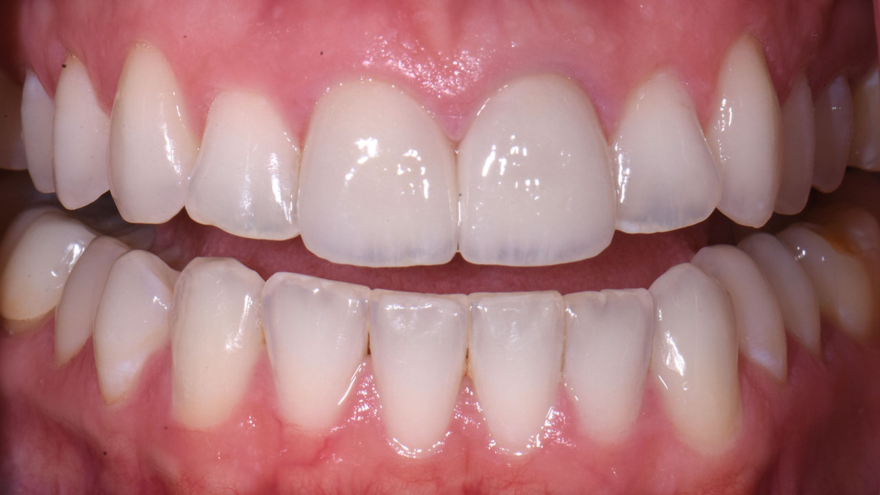
Outcome
The new restorations restored the natural shape and proportions of the front teeth while matching the translucency and appearance of the surrounding teeth, creating a more natural and balanced smile.




This patient fractured her two front teeth as a child and initially had them repaired with bonded fillings. In early adulthood those restorations were replaced with crowns. As she continued to grow, subtle changes in the position of the teeth and gums exposed the edge where the crowns met the natural teeth.
Over time she began to notice that the two front teeth looked slightly uneven and that the crowns appeared more opaque than the surrounding teeth. The existing crowns were replaced with carefully designed all-ceramic crowns that restored the natural shape, proportions, and translucency of the front teeth.


