

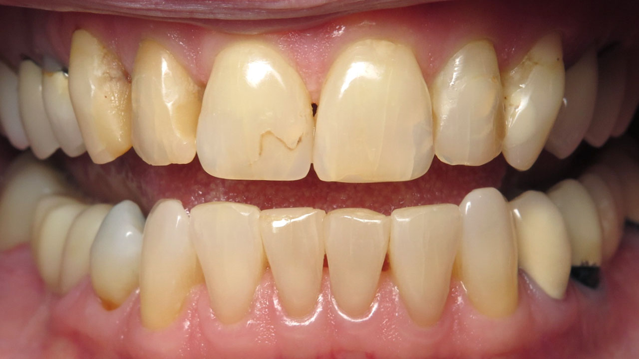
Concern
The patient was concerned about the appearance of several front teeth with large, discolored fillings and an older crown that showed dark metal at the gumline.
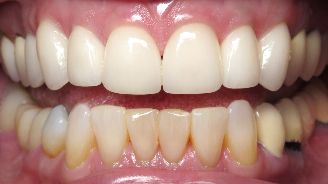
Treatment
Seven anterior ceramic crowns were placed to restore strength, improve color uniformity, and maintain the patient's natural tooth shape.
Procedures
Ceramic crowns on teeth #5–11.
Time
3 weeks.
Outcome
The final restorations created a brighter, more uniform smile while preserving the patient's natural tooth shape and proportions.




Over time, several large fillings in this patient's front teeth had become discolored and noticeable when she smiled. An older porcelain-fused-to-metal crown also showed dark metal at the gumline. She wanted a solution that would look more natural and last longer than replacing the fillings again.
Because the restorations were extensive, ceramic crowns provided the most predictable option for strength and long-term esthetics. Using digital scanning, the natural shape of the patient's teeth was captured before treatment and duplicated in the final restorations, allowing the new crowns to maintain a natural look while creating a brighter, more uniform smile.


