

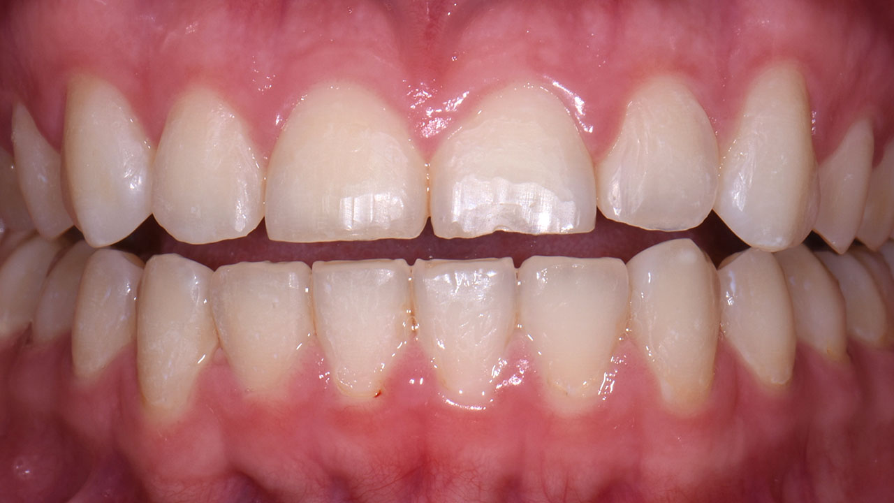
Concern
This young patient had acid erosion that weakened the inside surfaces of her upper front teeth. Over time the edges became worn and shortened, and she began noticing that her front teeth looked uneven when she smiled.
Treatment
Orthodontic treatment was completed first to improve the alignment and spacing of the teeth. Once the teeth were properly positioned, the four upper front teeth were restored with all-ceramic crowns.
Procedures
Orthodontic treatment followed by four all-ceramic crowns on the upper front teeth.
Time
12 months of orthodontic treatment and 3 weeks of restorative treatment.
Outcome
The final restorations restored the natural length and shape of the front teeth and created a more balanced, natural-looking smile.




This young patient had experienced acid erosion that weakened the inside surfaces of her upper front teeth. Over time the biting edges became worn, leaving the teeth looking shortened and uneven. She began to notice the change in her smile and wanted to restore the natural shape of her front teeth.
Orthodontic treatment was first used to improve the alignment and spacing of the teeth so the restorations could be designed properly. Once the teeth were positioned, four all-ceramic crowns were placed to restore the length, symmetry, and overall appearance of her smile.


