

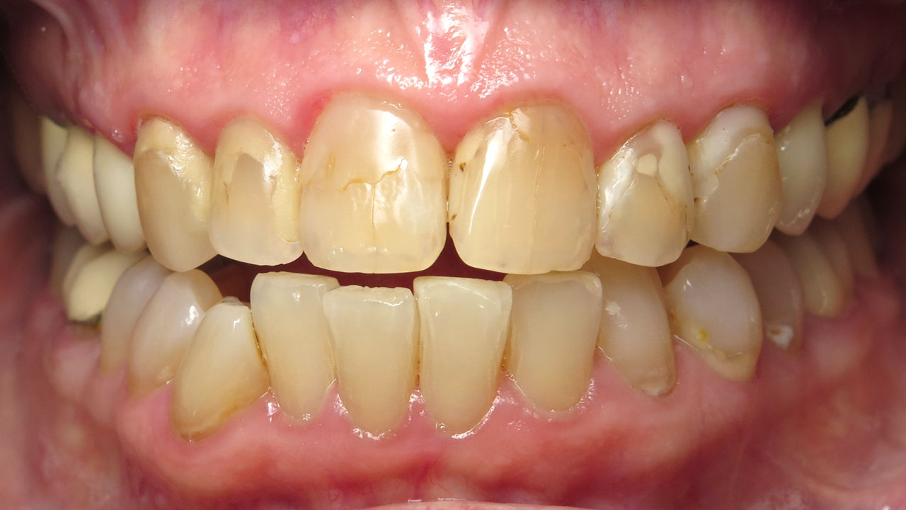
Concern
After many years of decay and repeated repairs to her front teeth, the patient had several large fillings that had become discolored, rough, and difficult to keep clean. The plaque retention around these restorations was irritating her gum tissue, and one of the older fillings eventually failed.
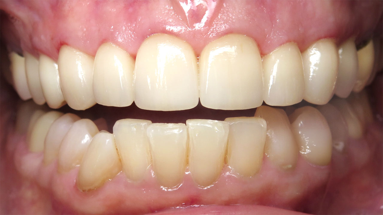
Treatment
A comprehensive restorative plan was developed and six all-ceramic crowns were placed on the upper front teeth.
Procedures
Ceramic crowns on six upper anterior teeth.
Time
3 weeks.
Outcome
The final restorations restored strength and appearance while preserving the patient's natural tooth shape.




After many years of repairs to her front teeth, the fillings had become large, discolored, and difficult to keep clean. Their rough surfaces trapped plaque and were beginning to irritate the surrounding gum tissue. When one of the older fillings eventually failed, she decided it was time to move forward with a more durable long-term solution.
Six all-ceramic crowns were placed to restore strength and stability while improving the overall appearance of her smile. Digital scanning allowed the natural shape of her teeth to be preserved in the final restorations.


