

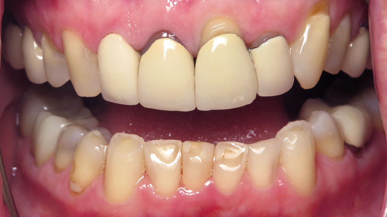
Concern
The patient had four upper front crowns that were more than 30 years old. The metal edges were visible at the gumline, and the hardness of those crowns had gradually worn down the lower front teeth.
Treatment
The upper crowns were replaced with modern all-ceramic crowns, and the worn lower front teeth were restored with porcelain veneers.
Procedures
Four ceramic crowns on the upper front teeth and four porcelain veneers on the lower front teeth
Time
3 weeks.
Outcome
The new restorations removed the visible metal edges, restored the worn lower teeth, and created a brighter, more balanced smile.




This patient had four porcelain-fused-to-metal crowns on the upper front teeth that had been in place for more than 30 years. Over time, the metal edges became visible at the gumline, and the strength of those crowns caused noticeable wear on the lower front teeth.
The treatment replaced the upper crowns with modern all-ceramic restorations and restored the worn lower teeth with porcelain veneers. The new restorations improved the appearance of the smile while restoring strength and balance between the upper and lower front teeth.


