

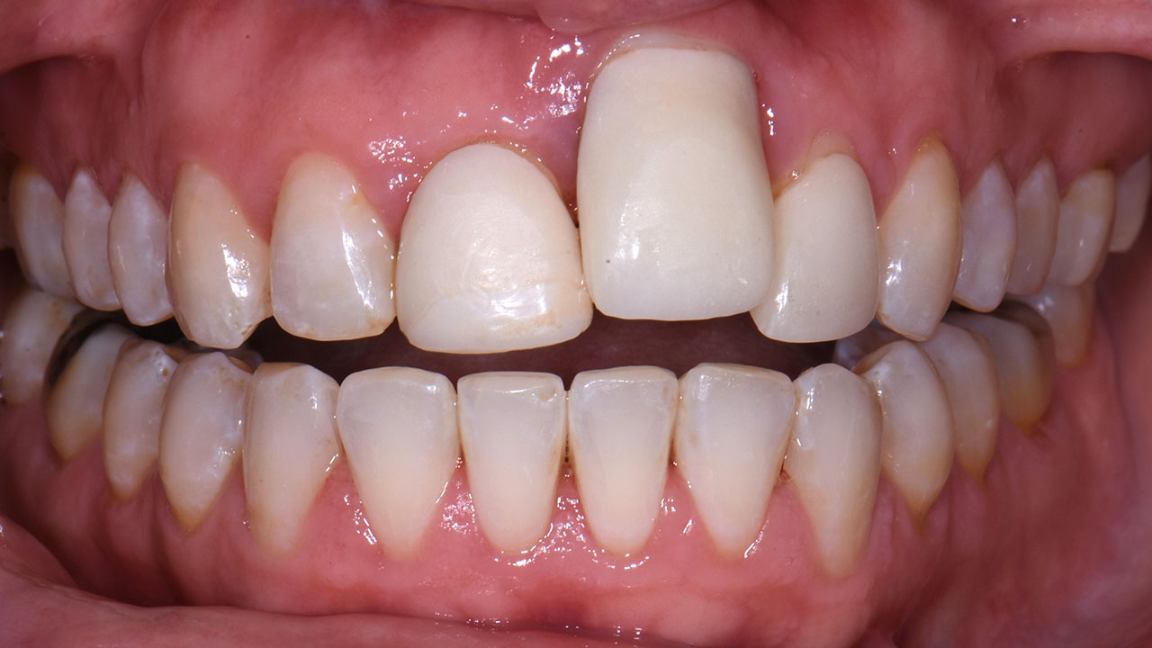
Concern
This patient experienced severe dental trauma as a child that knocked out one front tooth and fractured several others. The tooth was successfully re-implanted and remained healthy, but it fused to the surrounding bone (ankylosis). As she continued to grow, the surrounding teeth and jaw developed around that tooth. Over time she began noticing that one front tooth looked out of position and her smile appeared uneven.
Treatment
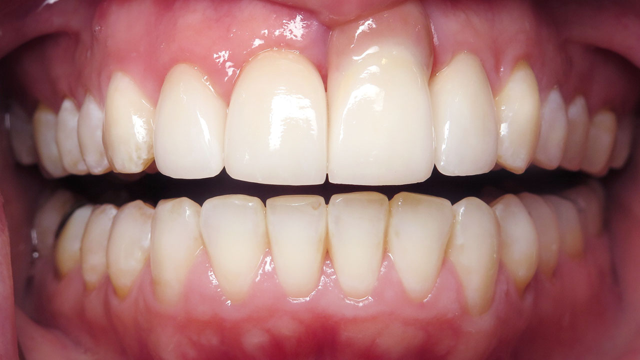
Orthodontic treatment was completed to improve the position of the surrounding teeth and create a stable foundation for restorative treatment. The upper front teeth were then restored with all-ceramic crowns to improve symmetry and function.
Procedures
2 months of orthodontic treatment followed by four all-ceramic crowns on the upper front teeth.
Time
12 months of orthodontic treatment and 3 weeks of restorative treatment.
Outcome
The final restorations improved the alignment, appearance, and function of the front teeth while creating a more balanced smile.




This patient experienced significant dental trauma as a child that knocked out one front tooth and fractured several others. The tooth was successfully re-implanted and remained healthy, but it fused to the surrounding bone, a condition known as ankylosis. As she grew, the surrounding teeth continued to move and develop around the ankylosed tooth, which gradually made the smile appear uneven. She began to notice the difference in her smile and wanted to explore what might be possible.
Orthodontic treatment was used to improve the position of the surrounding teeth, and four all-ceramic crowns were placed on the upper front teeth to restore symmetry and create a more balanced smile. The lower front teeth had also erupted further to meet the ankylosed tooth over time, so they were repositioned during orthodontic treatment and the crowns were designed to create a more stable front bite.


