

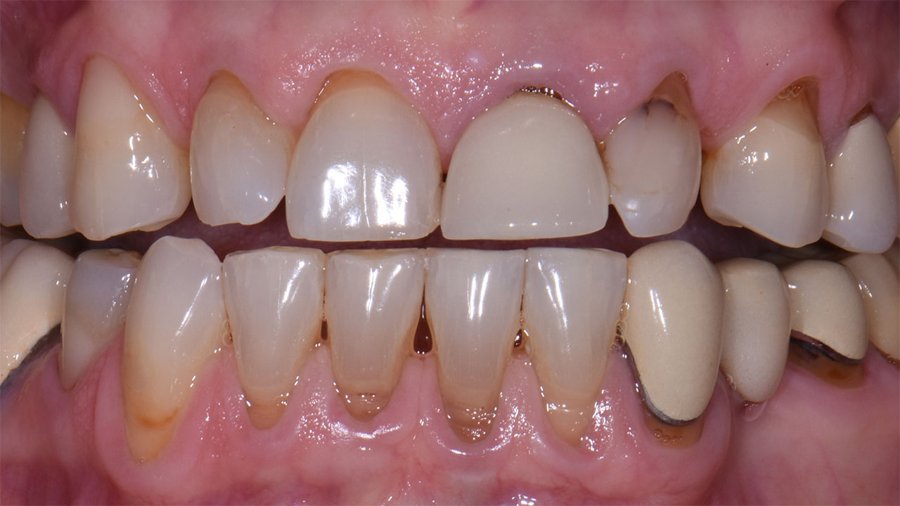
Patient Concern
The patient came in because of a loose front tooth and spaces in her smile that she had never liked. Examination revealed that the loose tooth was hopelessly fractured and would require extraction and replacement.
Treatment
Orthodontic treatment was used to close spaces and create an ideal site for implant replacement of the lost front tooth. Several areas of failing dentistry were also replaced to restore long-term stability.
Procedures Performed
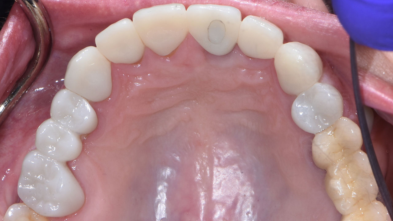
Maxillary
- 1 implant-supported crown
- 1 all-ceramic bridge
- 6 all-ceramic crowns
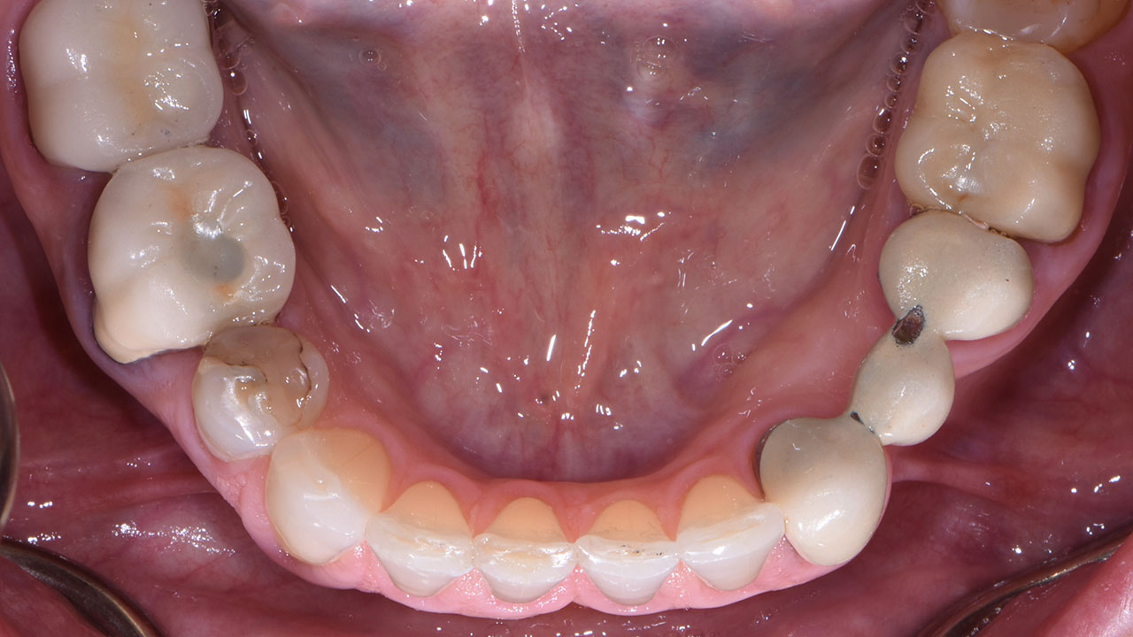
Mandibular
- 2 implant-supported crowns
- 6 all-ceramic crowns
- 6 veneers




Treatment Time
- 18 months orthodontics and implant healing
- 10 months restorative treatment
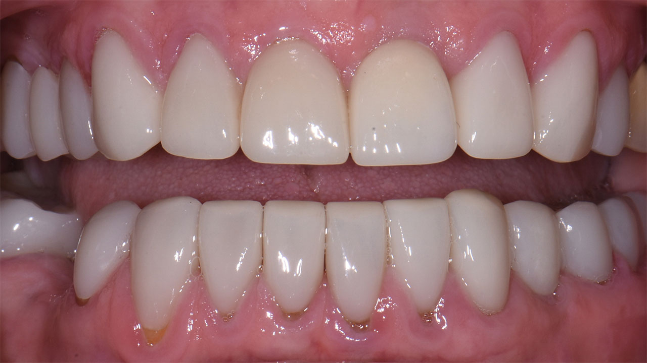
Outcome
The patient regained a stable bite and a confident smile with durable restorations designed for long-term health and function.
This patient initially came in because of a loose front tooth and spaces in her smile that she had never liked. The tooth was found to be hopelessly fractured and required extraction and implant replacement.
Orthodontic treatment was used to correct spacing and create an ideal position for the implant. During treatment, several failing restorations were also replaced to improve long-term stability.
She shared that growing up in a large family, dental care was not always possible. After her father passed away, she told us she finally felt like she was letting her dad take her to the dentist.
Her final result restored both her smile and her confidence.




