

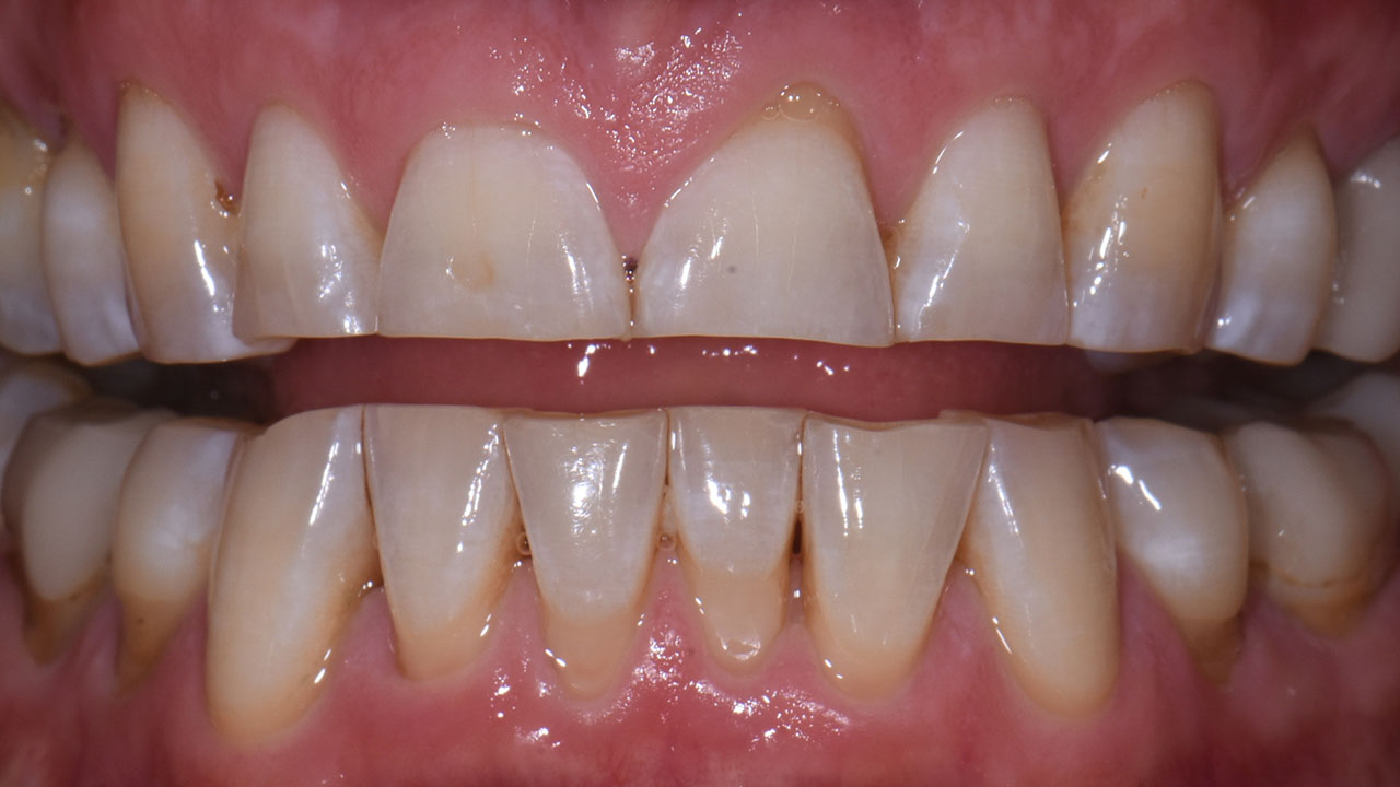
Patient Concern
Teeth were severely worn and barely visible when smiling in photos.
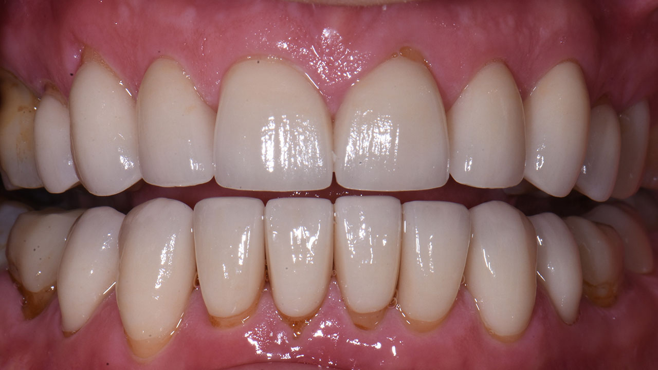
Treatment
Orthodontic intrusion repositioned the upper and lower front teeth, followed by porcelain restorations.
Procedures Performed
- 8 upper all-ceramic crowns
- 6 lower porcelain veneers
- 2 posterior onlays
- Orthodontic alignment and intrusion




Treatment Time
Approximately 18 months.
Outcome
Restored tooth length, improved bite support, and a fuller, more youthful smile.
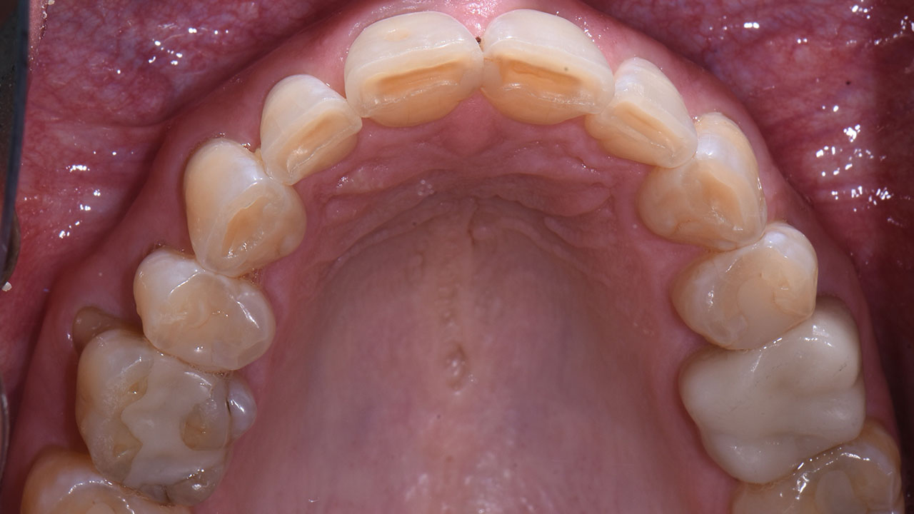
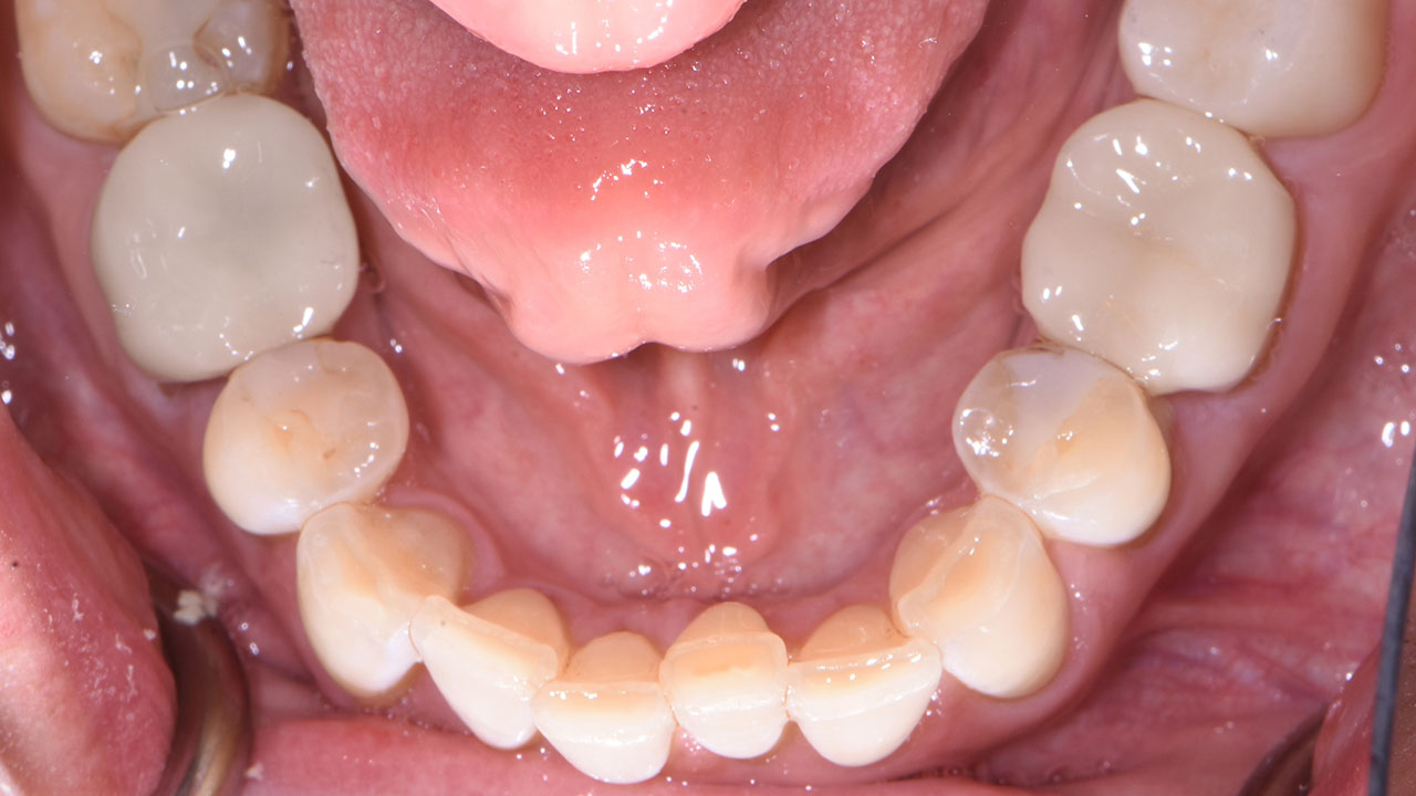
This patient was concerned that his teeth looked worn and barely showed when smiling. Years of grinding had shortened the front teeth and flattened the biting edges, giving his smile an aged appearance.
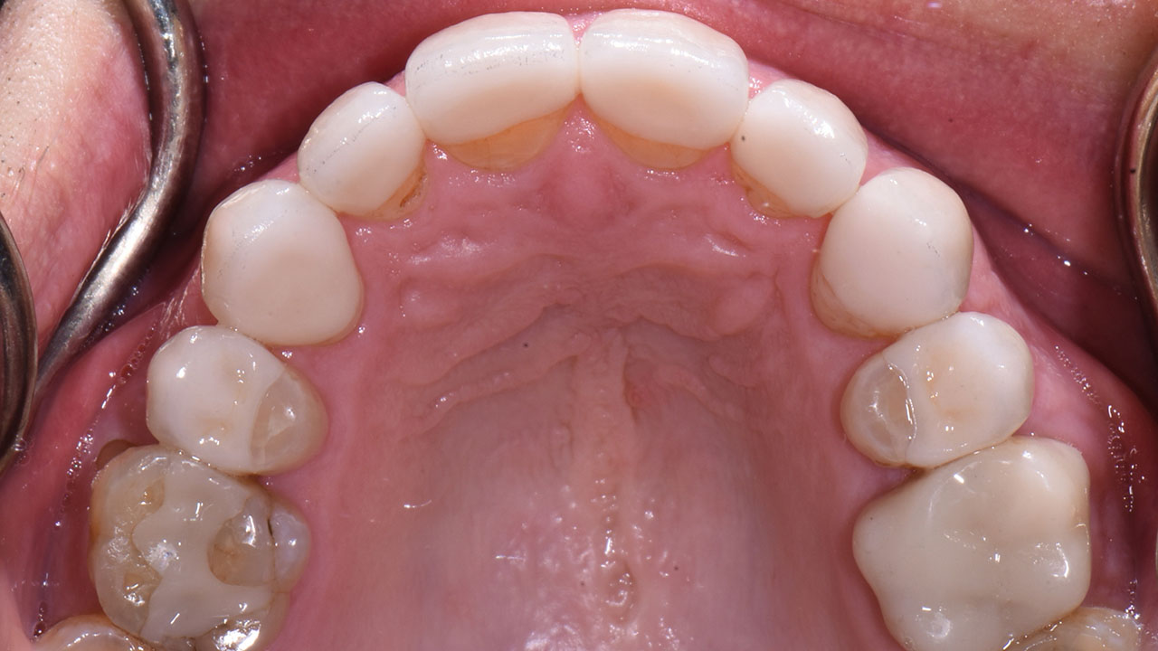
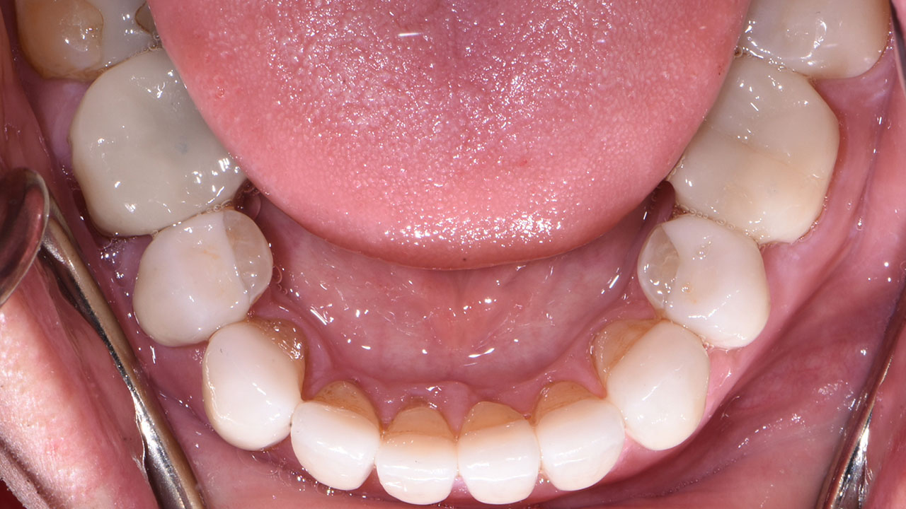
Orthodontic treatment was first used to reposition the upper and lower front teeth into their proper position. Once aligned, the teeth were restored with eight upper all-ceramic crowns, six lower veneers, and two conservative onlays to rebuild the bite and restore natural tooth proportions.
The result is a healthier bite, improved tooth function, and a more natural, confident smile.




