

Patient Concern
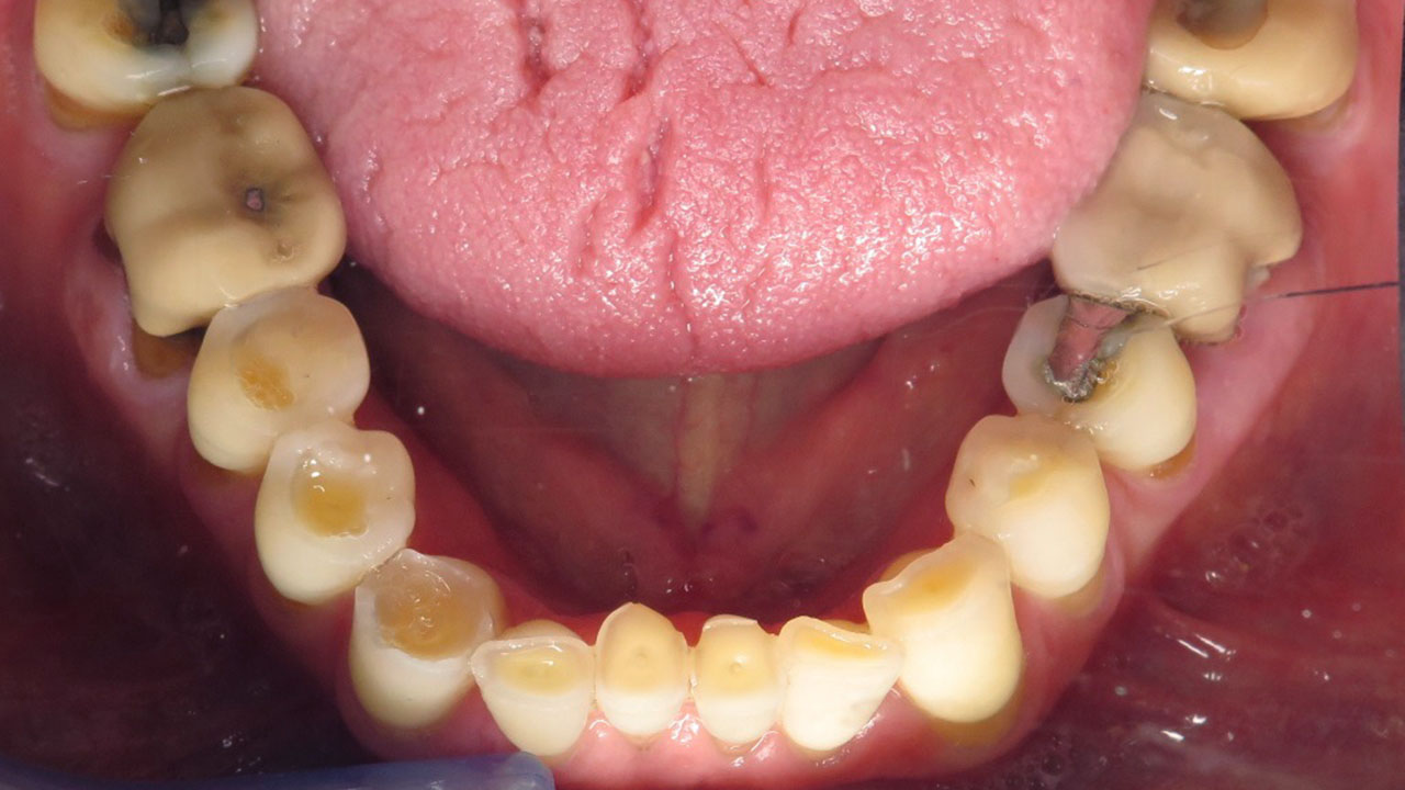
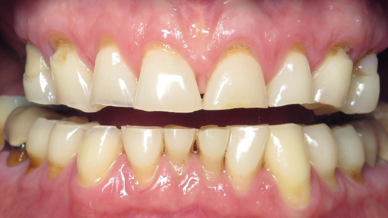
The patient was referred by his periodontist after being told that severe tooth grinding had worn his teeth down significantly and that he could lose his teeth if he did nothing to restore them.
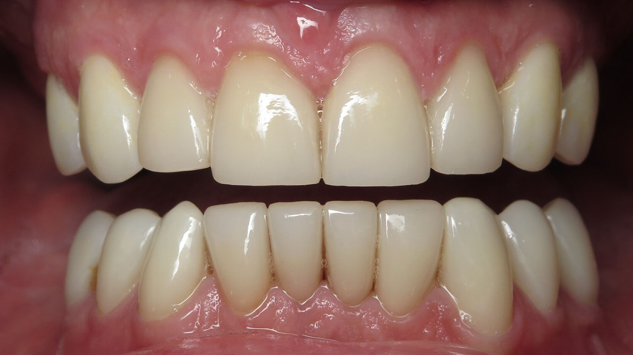
Treatment
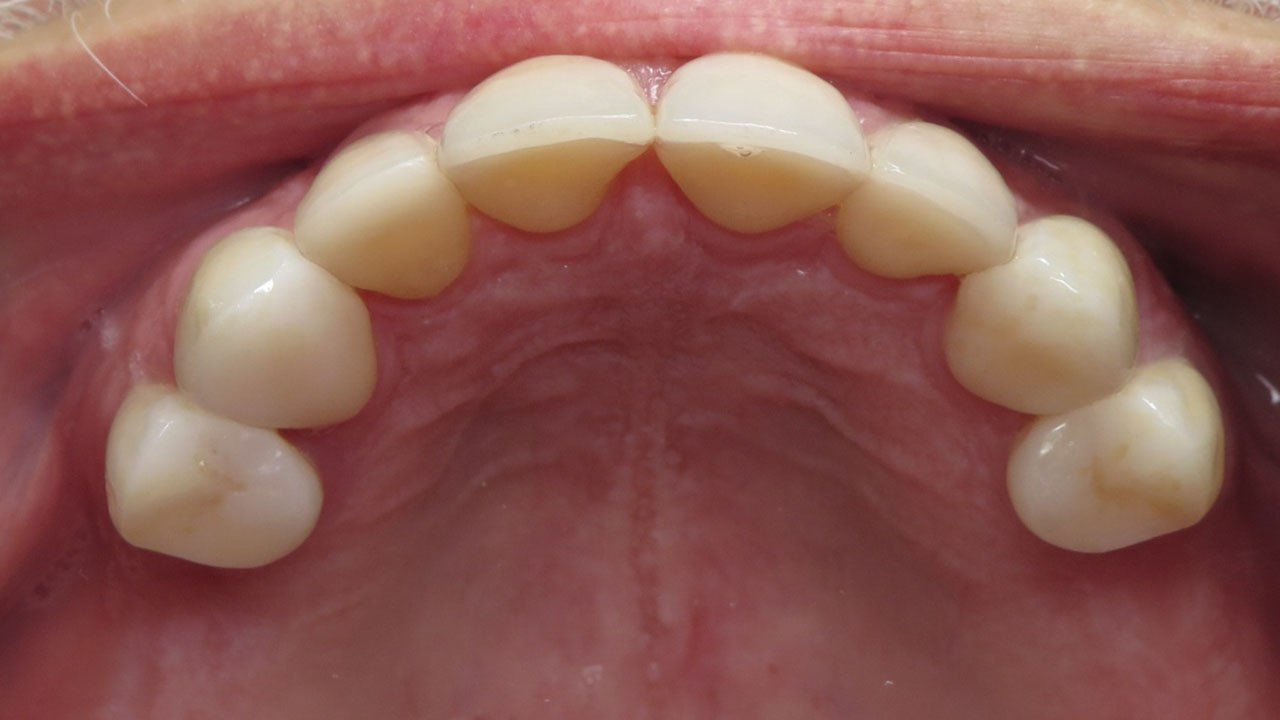
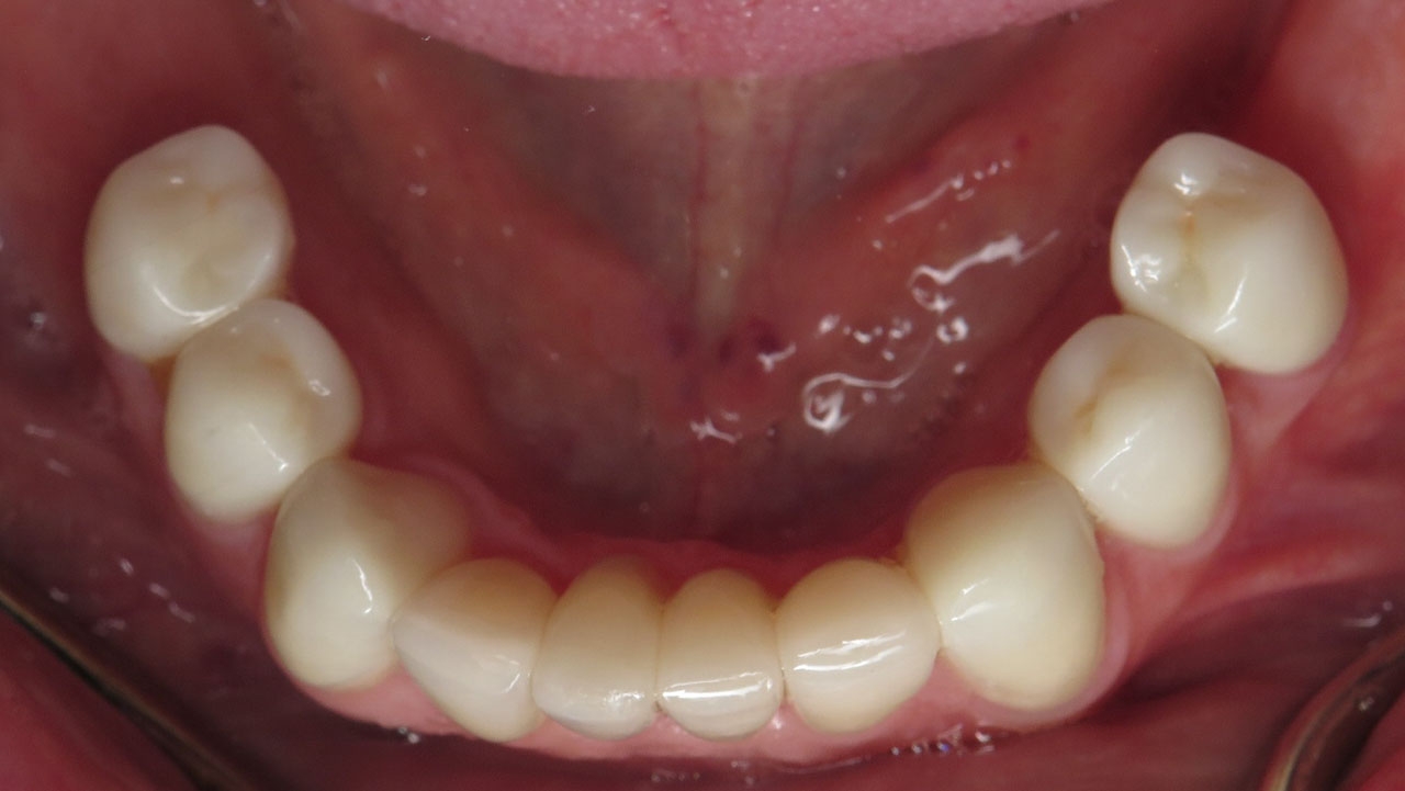
Hopeless lower teeth were removed and the remaining teeth were restored with all-ceramic crowns to rebuild the bite and protect the worn dentition.
Procedures Performed
- Removal of hopeless mandibular posterior teeth
- Full mouth rehabilitation with all-ceramic crowns
- Bite reconstruction to restore lost tooth structure




Treatment Time
15 months (treatment completed in stages).
Outcome
The patient regained a stable bite and preserved his remaining natural teeth. Implant replacement of missing molars was discussed but postponed for financial reasons.
This patient was referred by his periodontist after severe tooth grinding had worn his teeth down significantly. He had already lost several teeth, and the remaining lower back teeth had a poor long-term prognosis if the bite was not restored.
Treatment was completed in stages. The upper teeth were restored first with all-ceramic crowns to rebuild the bite. After a pause to allow the patient time for physical and financial recovery, treatment continued with restoration of the lower teeth.
The result is a stable bite that protects the remaining teeth and restores comfortable chewing.




