

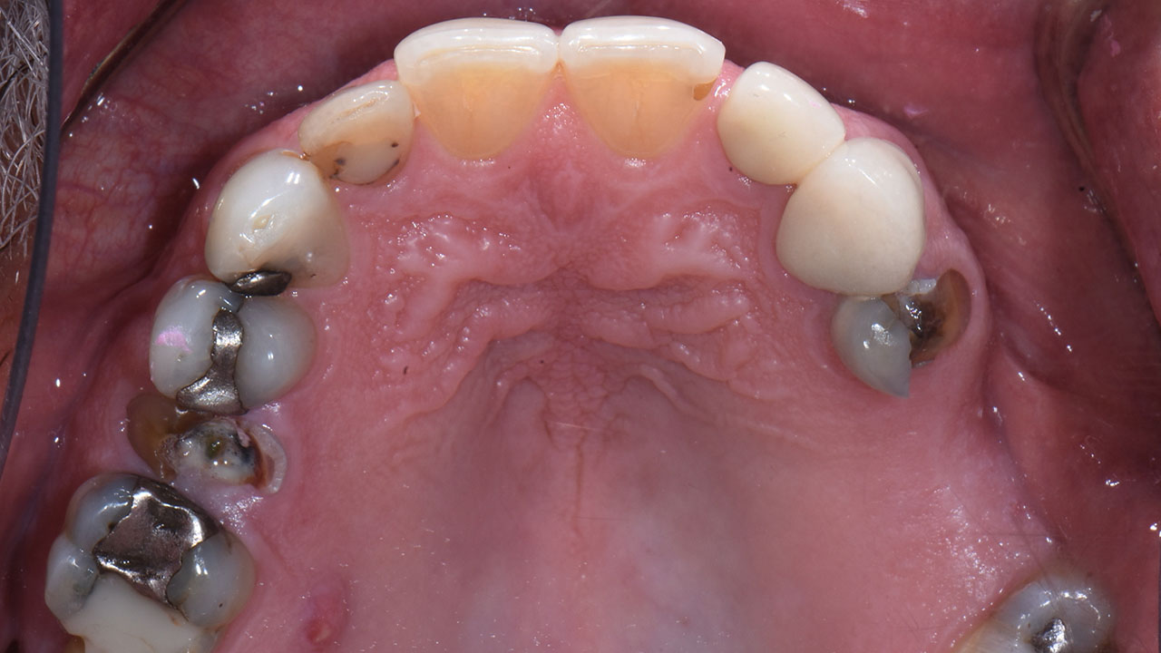
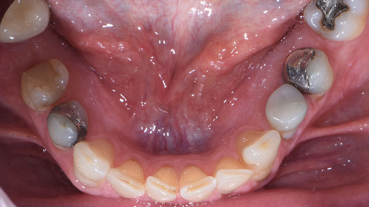
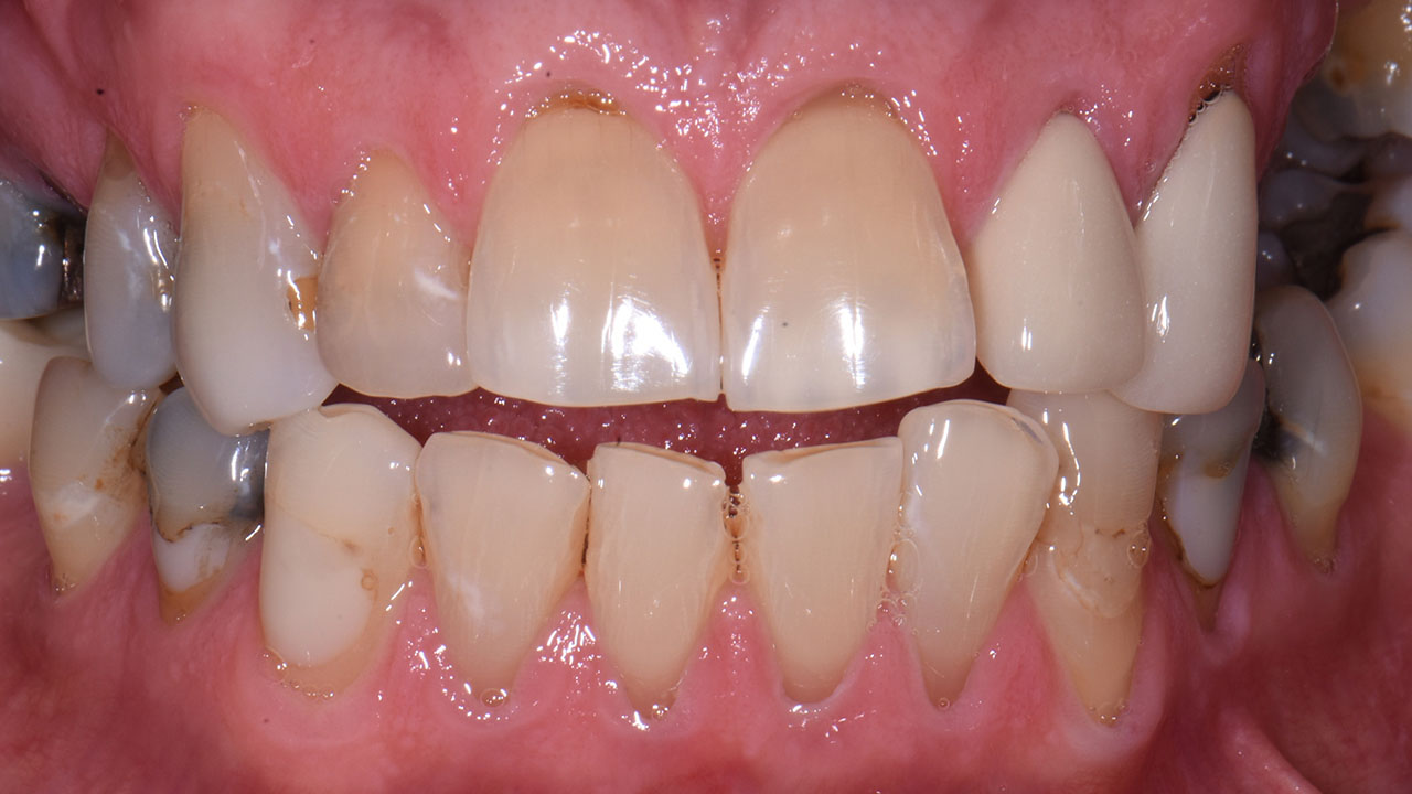
Patient Concern
Several broken and infected back teeth made chewing difficult. The patient initially wanted the least expensive option and was not concerned about cosmetic improvements.
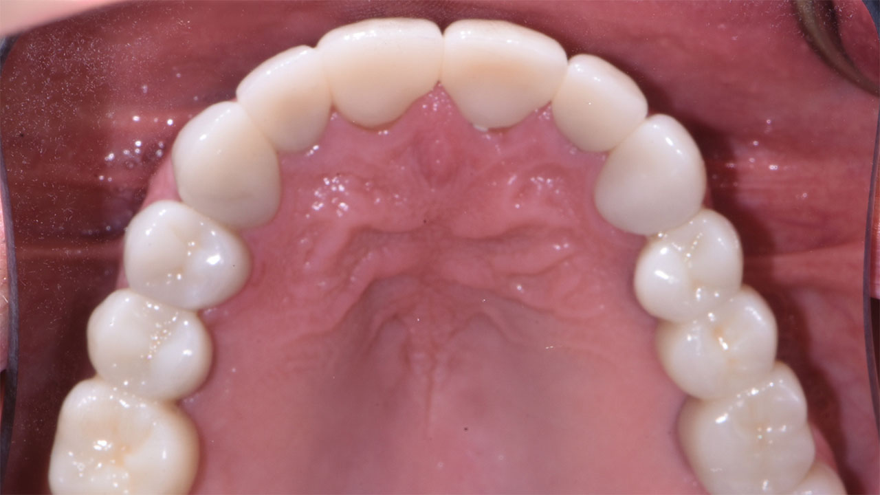
Treatment
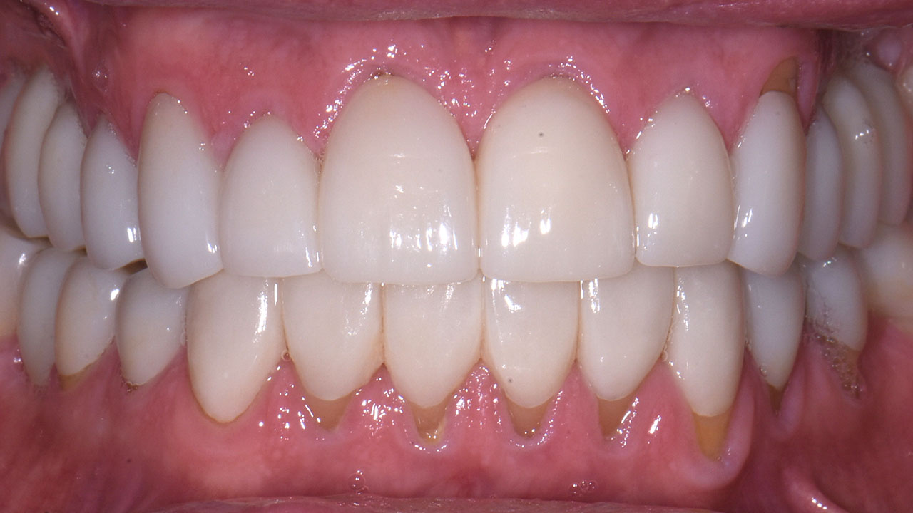
Infected teeth were removed and bone grafting was performed to rebuild lost support before restoring the bite with implant-supported bridges and ceramic restorations.
Procedures Performed
- Removal of infected teeth
- Bone grafting
- 2 maxillary implant-supported bridges
- 6 maxillary all-ceramic crowns
- 6 mandibular veneers
- 4 mandibular all-ceramic crowns
- 1 tooth-supported all-ceramic bridge




Treatment Time
23 months (including 12 months of healing after extractions and bone grafting).
Outcome
A stable bite that allows the patient to chew comfortably again.
This patient had several broken and infected back teeth that made chewing difficult. His main goal was restoring function, and he initially hoped to pursue the least expensive option, including removable partial dentures.
After discussing the long-term limitations of partial dentures, he decided to rebuild his bite with dental implants. Infected teeth were removed, and bone grafting was performed to rebuild lost bone before treatment continued.
Implant-supported bridges, crowns, and veneers restored a strong bite and allowed him to chew comfortably again.




