

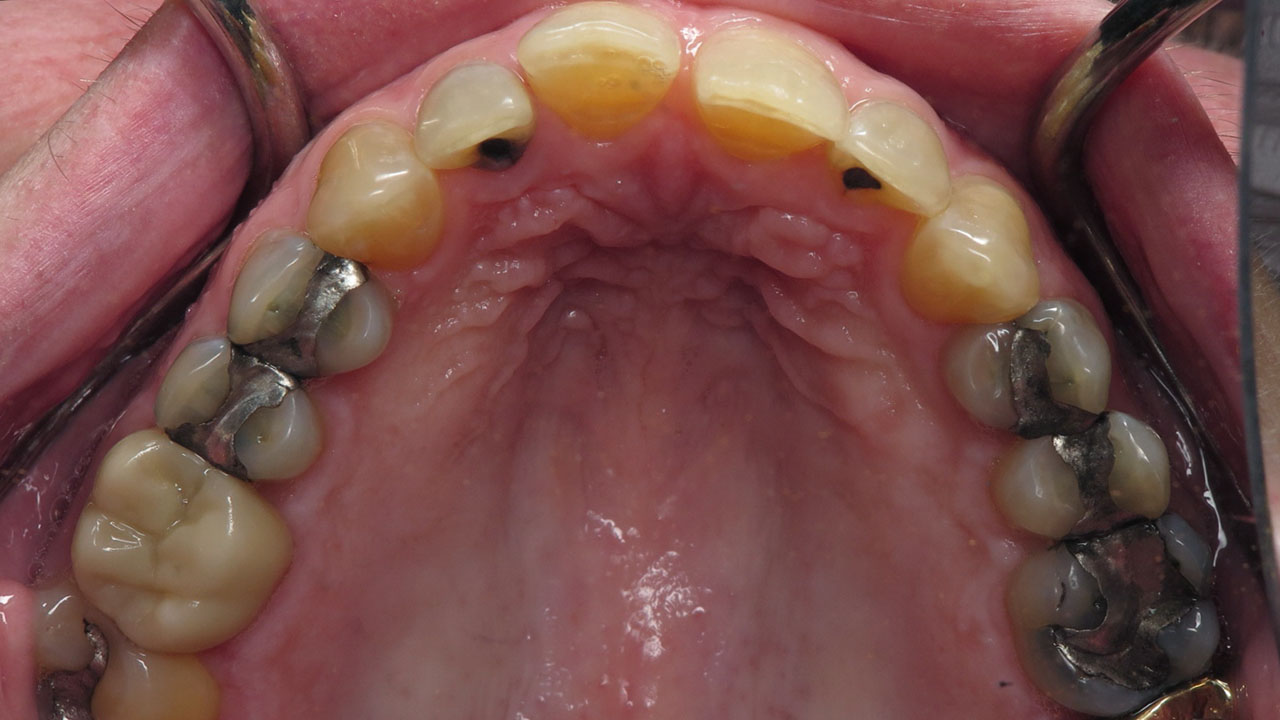
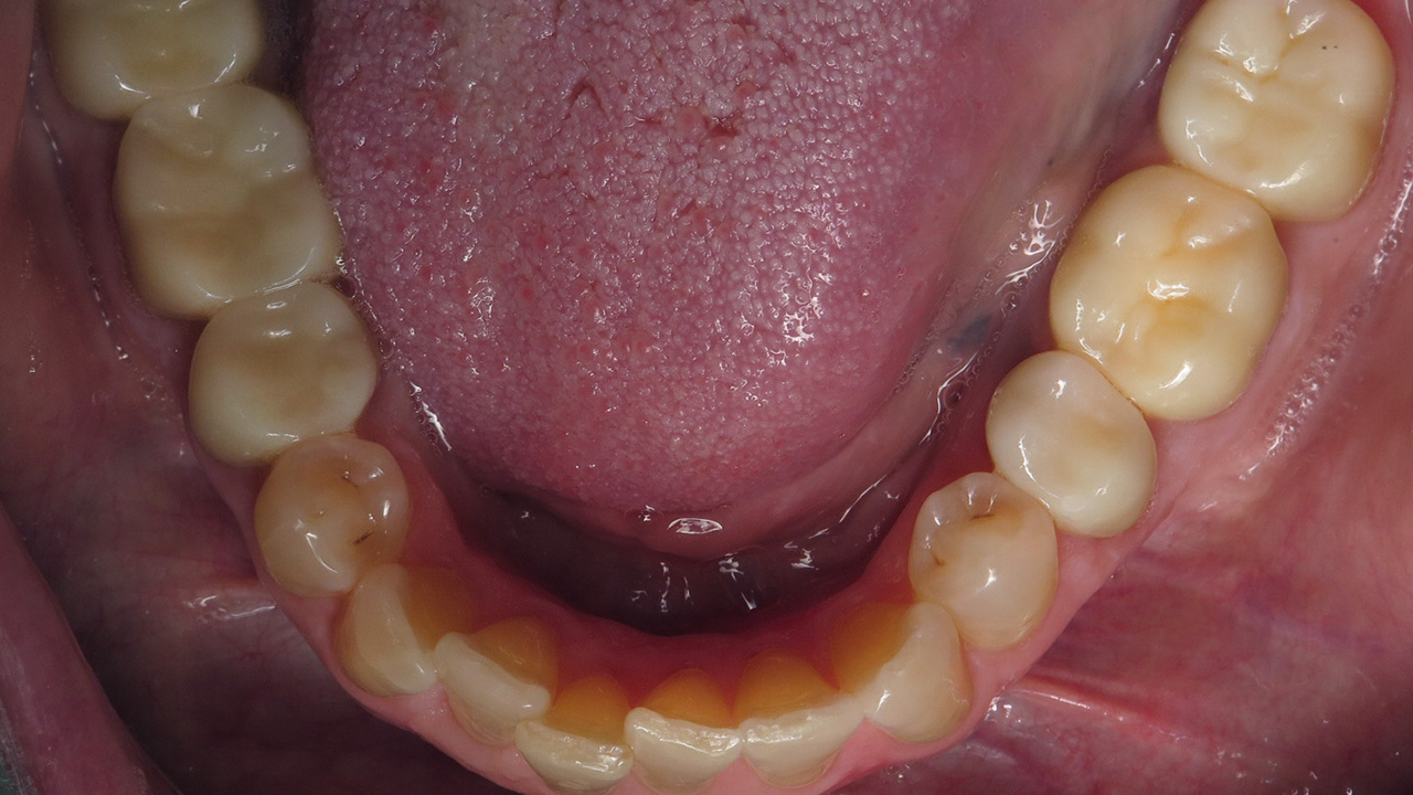
Patient Concern
The patient wanted to improve the appearance of several silver fillings and commented during her first visit that she felt they made her teeth look unattractive.
Treatment
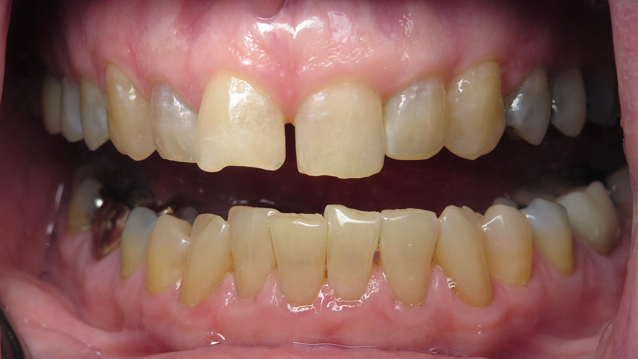
Because many of the fillings were quite large, we discussed that simply replacing them might not provide the best long-term solution. A phased treatment plan was developed to strengthen the teeth while improving their appearance using modern restorative materials.
Procedures Performed
- All-ceramic crowns
- Tooth-colored composite fillings
- Quadrant-by-quadrant restorative treatment




Treatment Time
Completed gradually over four years, treating one quadrant at a time.
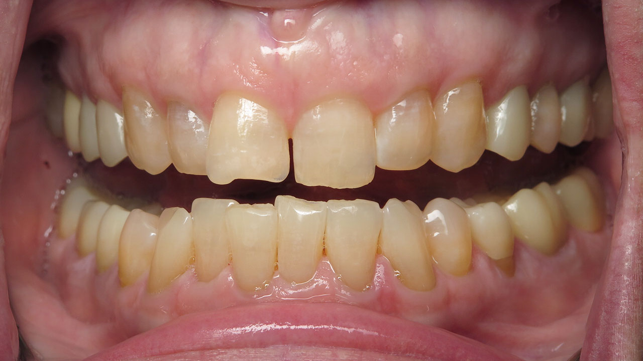
Outcome
Older restorations were replaced with stronger, more natural-looking materials while allowing treatment to progress at a pace that worked well for the patient.
At her first visit, this patient mentioned that she did not like the appearance of the silver fillings in her teeth. When reviewing photographs together, she commented that they made her teeth look unattractive and asked about replacing them.
Because many of the fillings were quite large, we discussed that restoring the teeth with stronger materials might provide a better long-term solution. Treatment was completed gradually by restoring one quadrant each year using all-ceramic crowns and tooth-colored composite fillings.
We also discussed improving the alignment of the front teeth, but the patient chose to keep their natural shape and the natural space between them because she felt it was a unique part of her smile.




