

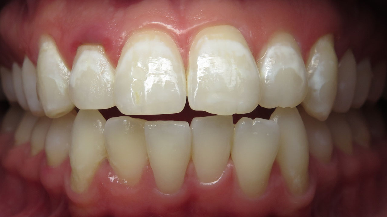
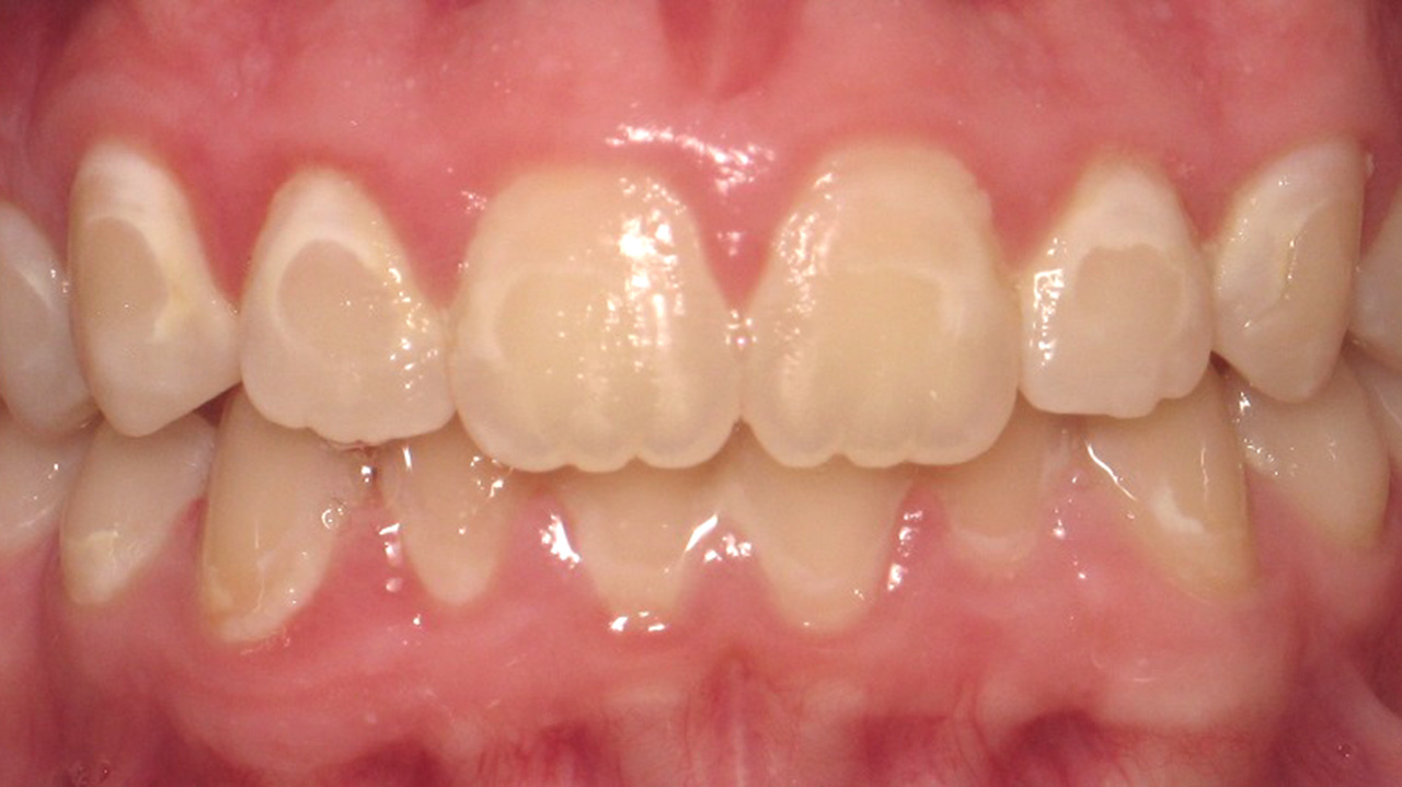
Concern
Visible white discolorations on the front teeth that created an uneven enamel appearance.
Treatment
Enamel microabrasion to remove superficial enamel discoloration and improve color uniformity.
Procedures
Enamel microabrasion using a mild acidic solution combined with pumice, followed by polishing and fluoride varnish application.
Time
Completed in a single visit.
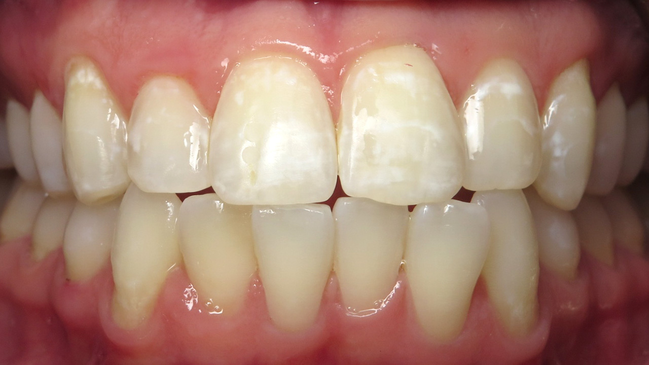
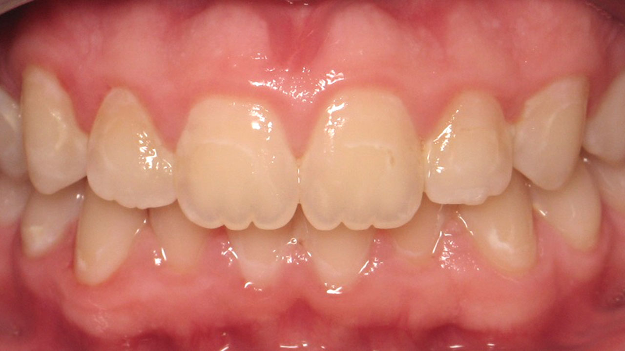
Outcome
White enamel discolorations were significantly reduced or eliminated, leaving the teeth with a smoother surface and more even, natural appearance.




These patients presented with visible white discolorations affecting the enamel of their front teeth. These spots can occur during tooth development or may develop during orthodontic treatment when plaque accumulates around brackets and is not completely removed.
In these cases, enamel microabrasion was used to improve the appearance of the teeth. This technique uses a mild acidic solution combined with pumice to gently remove a very thin outer layer of enamel, eliminating the superficial discoloration at the same time.
After the microabrasion process is completed, the enamel is polished to a high shine and coated with a fluoride varnish to help strengthen and protect the newly exposed enamel surface.
The treatment is completed in a single visit without the need for local anesthesia, making it a simple and conservative option for improving the appearance of enamel discolorations.


