

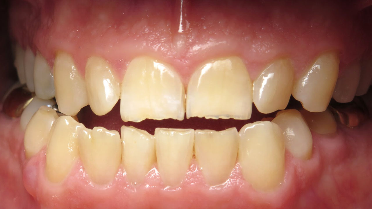
Concern
These patients disliked the sharp, chipped edges of their front teeth. The irregular edges affected both the appearance and feel of the teeth.
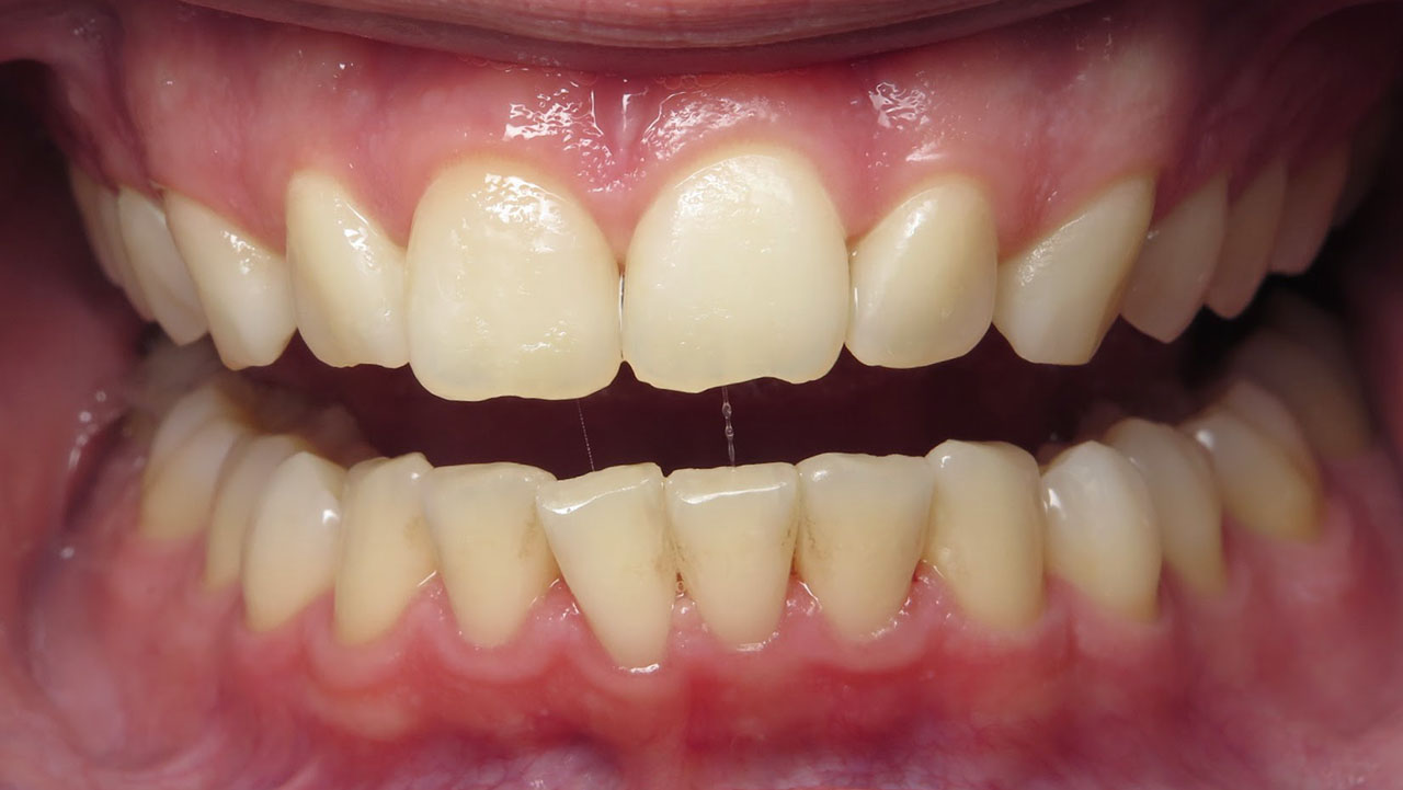
Treatment
Odontoplasty to smooth and reshape the enamel edges.
Procedures
Selective enamel reshaping of the front teeth.
Time
Very short appointments completed in a single visit.
Outcome
The teeth were smoothed and reshaped, restoring a more natural look and comfortable feel without the need for fillings.




These patients were bothered by the sharp, chipped edges of their front teeth. While noticeable, the defects were too small to repair predictably with fillings. Placing composite would have required removal of additional healthy tooth structure, and restorations in this high-stress area would likely have been fragile.
Instead, the teeth were treated with odontoplasty, a conservative procedure that carefully reshapes small areas of enamel to smooth rough or uneven edges.
Because only minor enamel refinement was required, no local anesthesia was needed, and each appointment was very short. The changes are subtle, but the teeth now look smoother and feel comfortable again without the need to match filling material or worry about losing a restoration.


