

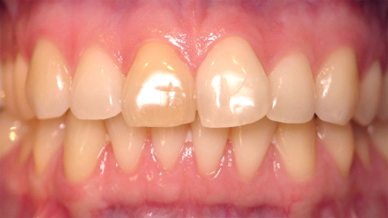
Concern
This patient disliked the dark color of a front tooth that had been struck by a hockey stick during childhood. The trauma caused the nerve to die, requiring root canal treatment. Over time the tooth darkened internally.
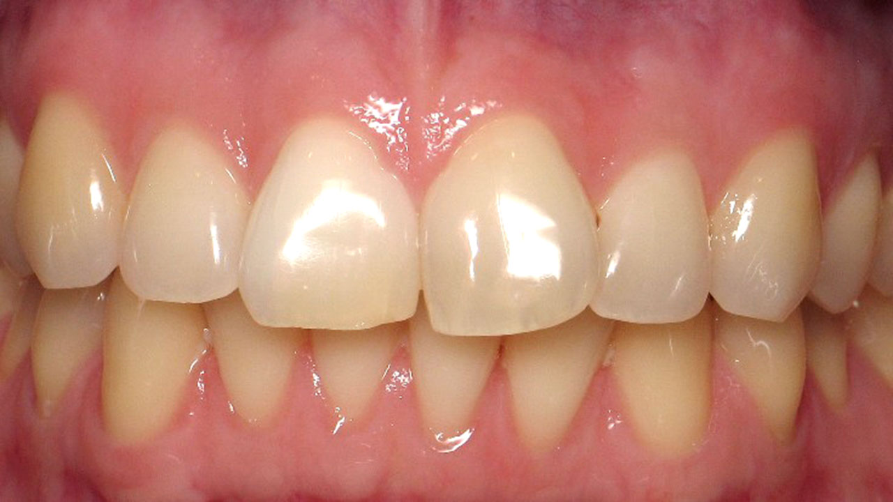
Treatment
Internal whitening of the root-canal–treated tooth combined with custom tray whitening for the surrounding teeth.
Procedures
Custom whitening trays, internal tooth whitening, and a new composite resin filling.
Time
Three weeks total treatment time. Internal whitening was completed in one week.
Outcome
The darkened tooth was lightened to closely match the surrounding teeth, restoring a more natural and even smile.


After trauma during childhood, this patient's front tooth required root canal treatment. Teeth that have experienced trauma often darken internally over time, which eventually made this tooth noticeably darker than the others.
Because the tooth structure remained healthy, the discoloration could be treated conservatively with internal whitening. Whitening material was placed inside the tooth through the root canal access opening and refreshed every two to three days over the course of a week.
Before internal whitening began, the patient completed two weeks of custom tray whitening to brighten the surrounding teeth and improve overall color harmony.
Once the desired shade was achieved, the whitening material was removed and the access opening was sealed with a new composite resin filling. No local anesthesia was required for any part of the treatment.


