

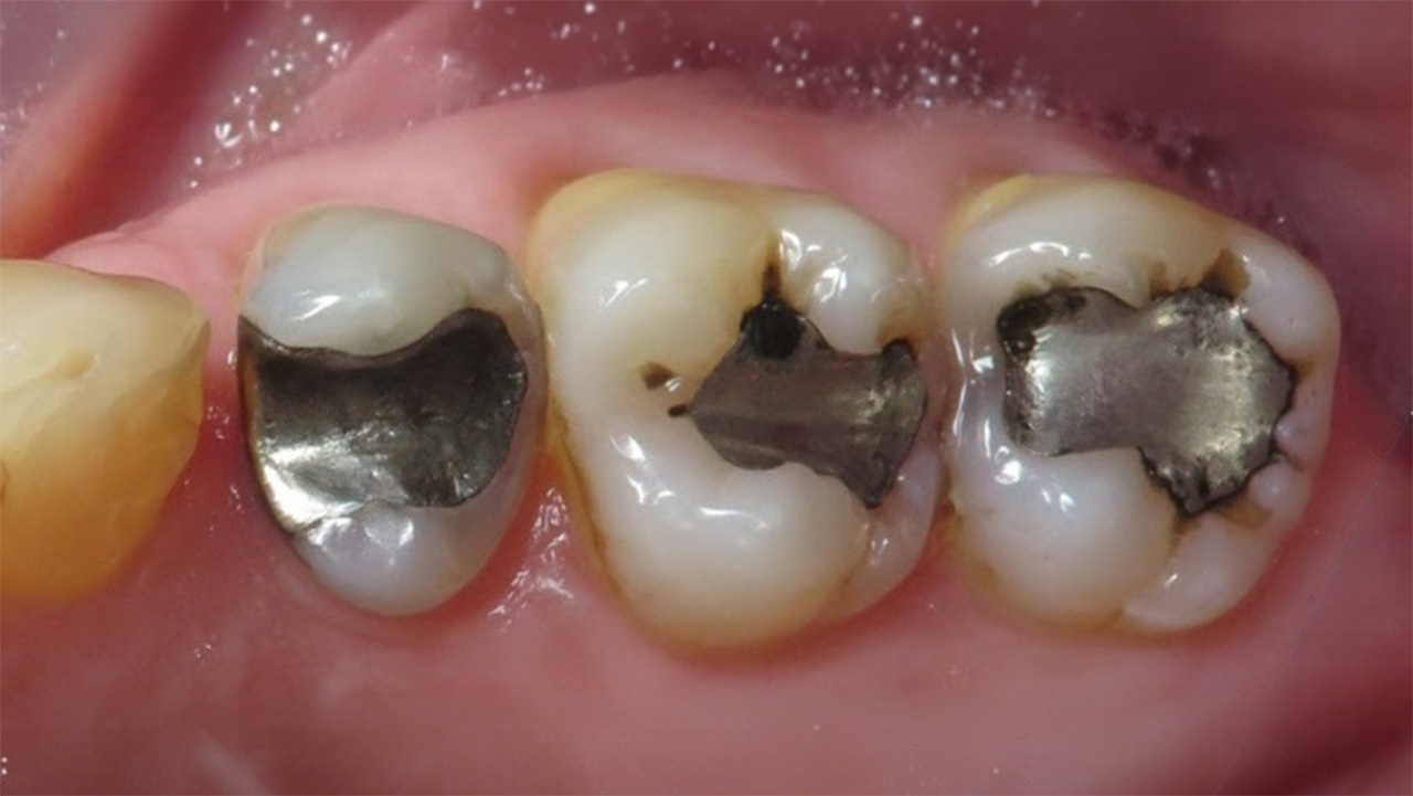
Concern
Older silver (amalgam) fillings were breaking down and new decay had developed around them.
Treatment
Replacement of failing amalgam fillings with tooth-colored composite resin restorations.
Procedures
Removal of existing amalgam restorations and decay, followed by placement of bonded composite fillings.
Time
Completed in a single visit.
Outcome
The failing restorations were replaced with bonded tooth-colored fillings that restore the teeth while blending naturally with the surrounding enamel.
Several older amalgam fillings had begun to break down, allowing new decay to develop around the edges of the restorations. The affected fillings and decay were removed and replaced with bonded composite resin fillings that restore the teeth and maintain a natural appearance.
One adjacent amalgam restoration was significantly larger and involved more of the tooth. Because of its size, replacing it with another filling would not provide predictable long-term strength. An all-ceramic crown is planned for that tooth to fully protect the remaining structure.


