

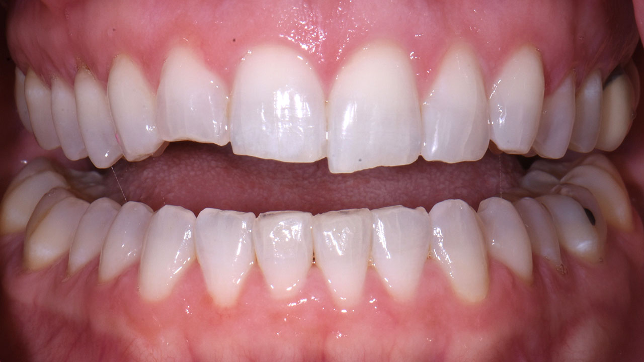
Concern
The patient had completed orthodontic treatment but noticed the front teeth looked uneven and worn. Years of crowding had caused the teeth to wear in an irregular pattern that became more noticeable once the teeth were aligned.
Treatment
Whitening followed by cosmetic bonding to restore natural tooth shape and symmetry.
Procedures
Orthodontic treatment (completed prior to referral), 3 weeks of whitening, and cosmetic bonding on four upper front teeth.
Time
Orthodontic treatment followed by 3 weeks whitening and one bonding appointment.
Outcome
Cosmetic bonding restored the worn edges and irregular shapes created by years of crowding, completing the orthodontic result with a natural, conservative smile enhancement.




This patient was referred by our orthodontic partner after completing orthodontic treatment. Prior to orthodontics, the teeth had been crowded for many years. As a result, normal chewing and tooth contact had worn the edges of the teeth in an irregular pattern.
Once the teeth were properly aligned, the uneven wear became more visible. The orthodontist referred the patient to our office to explore cosmetic options to refine the final smile.
After three weeks of whitening, cosmetic bonding was completed on four upper front teeth to restore natural shape and symmetry. The bonding corrected the worn edges and blended seamlessly with the natural teeth, completing the orthodontic treatment with a conservative cosmetic solution.
The patient was very pleased with the result and appreciated that the final improvements could be achieved without the need for porcelain veneers.


