

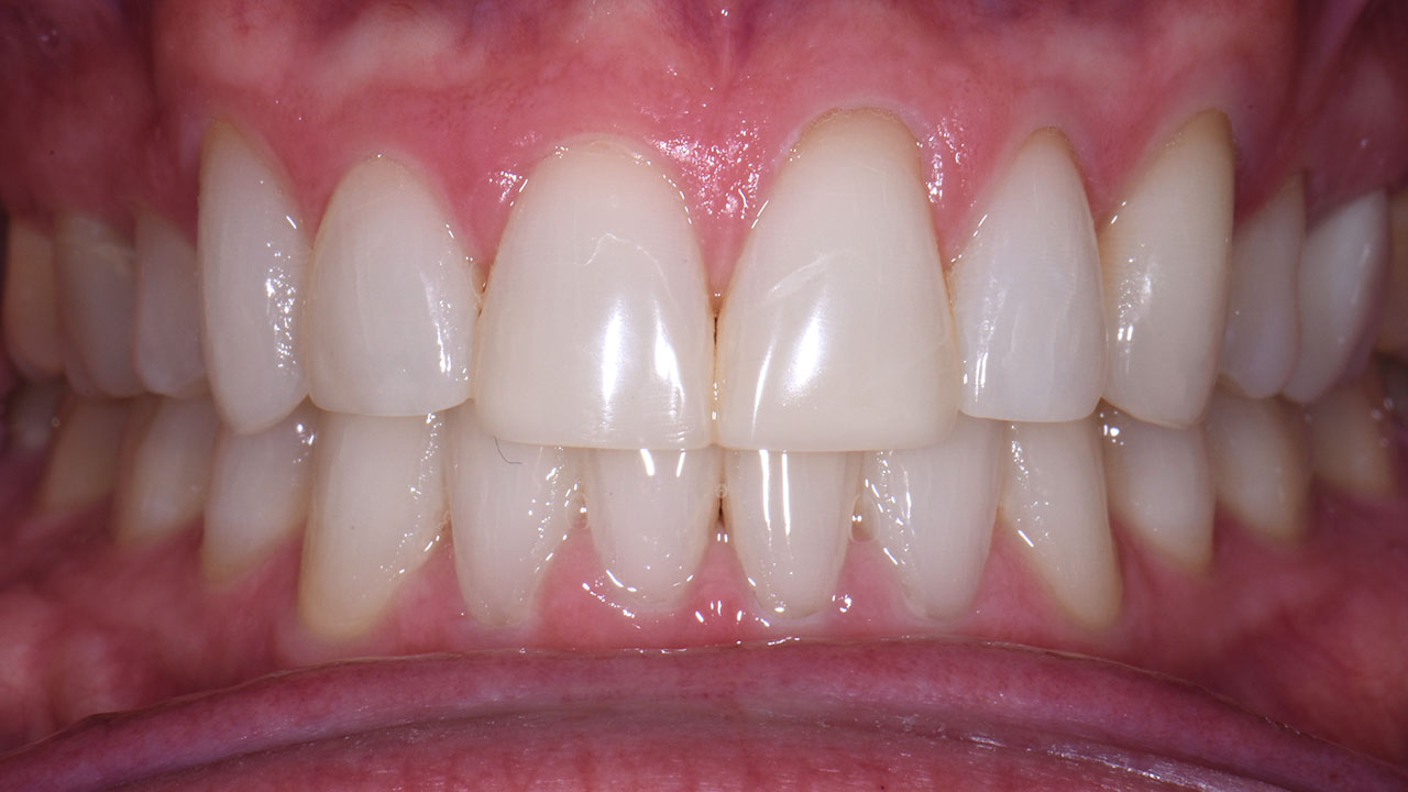
Concern
Patient was bothered by chipped front teeth and spacing between the front teeth, and initially came in asking about veneers.
Treatment
Orthodontics followed by whitening and conservative bonding.
Procedures
12 months of orthodontic treatment, 3 weeks of whitening, and bonding on 3 upper front teeth.
Time
Approximately 12 months orthodontics, 3 weeks whitening, and 1 bonding visit.
Outcome
Improved alignment, bite, tooth shape, and spacing with a conservative result that avoided veneers.




This patient came in wanting veneers because he was unhappy with chipped front teeth and the space between them. After evaluation, it was determined that his case could be treated more conservatively by first improving the spacing and anterior bite with orthodontics. Once the teeth were in a better position, the smile was refined with whitening and bonding rather than porcelain veneers.
After 12 months of orthodontic treatment and 3 weeks of whitening, bonding was completed in a single visit on just 3 upper front teeth. The result improved the alignment, closed the space, and restored the chipped edges while preserving more natural tooth structure.


