

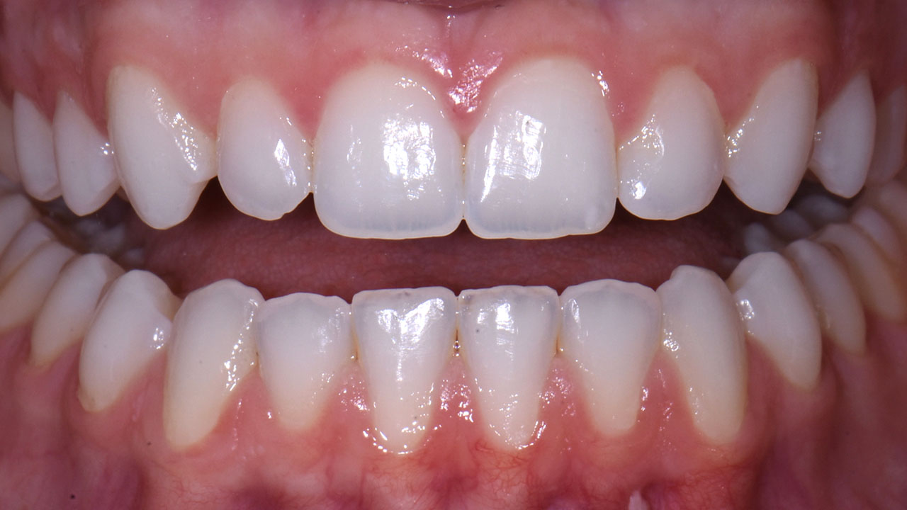
Concern
After completing orthodontic treatment, the patient was unhappy with the shape of several front teeth. The irregular edges created small dark spaces between the teeth that drew attention to their shape when she smiled.
Treatment
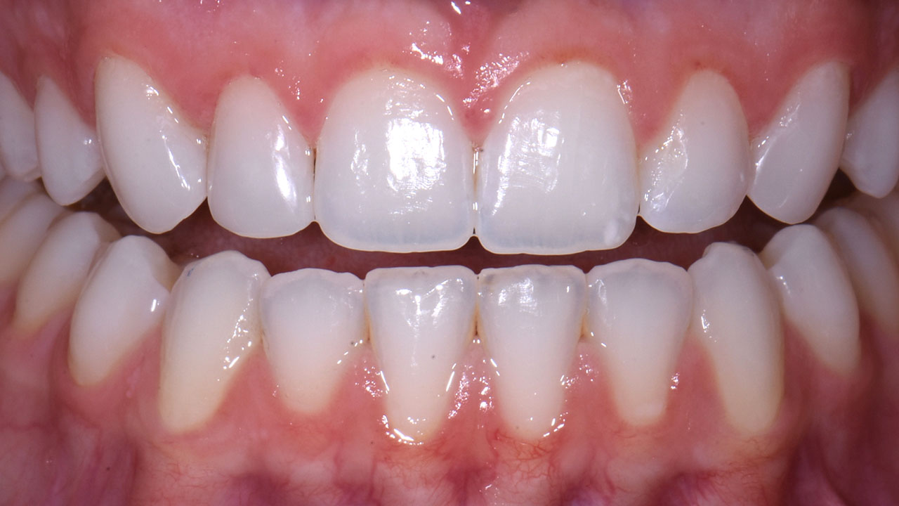
Whitening followed by conservative cosmetic bonding to refine the shape of the front teeth.
Procedures
Orthodontic treatment (completed prior to referral), 3 weeks of whitening, and cosmetic bonding on three upper front teeth.
Time
Orthodontic treatment followed by 3 weeks whitening and one bonding appointment.
Outcome
Subtle reshaping of the front teeth closed the dark spaces and improved symmetry, giving the smile a more balanced and natural appearance.


This young patient was referred by our orthodontic partner after completing orthodontic treatment. While the teeth were now properly aligned, the patient remained self-conscious about the shape of several of her front teeth.
The irregular contours created small dark spaces between the teeth when she smiled, which made the shapes appear more uneven. After evaluation, a conservative approach was recommended.
Following three weeks of whitening, cosmetic bonding was completed on three upper front teeth to refine their shape and improve the way the teeth fit together visually. The adjustments were subtle but made a noticeable difference in the overall balance of the smile.
The patient was thrilled with the result and appreciated that the improvement could be achieved with a conservative treatment approach.


