

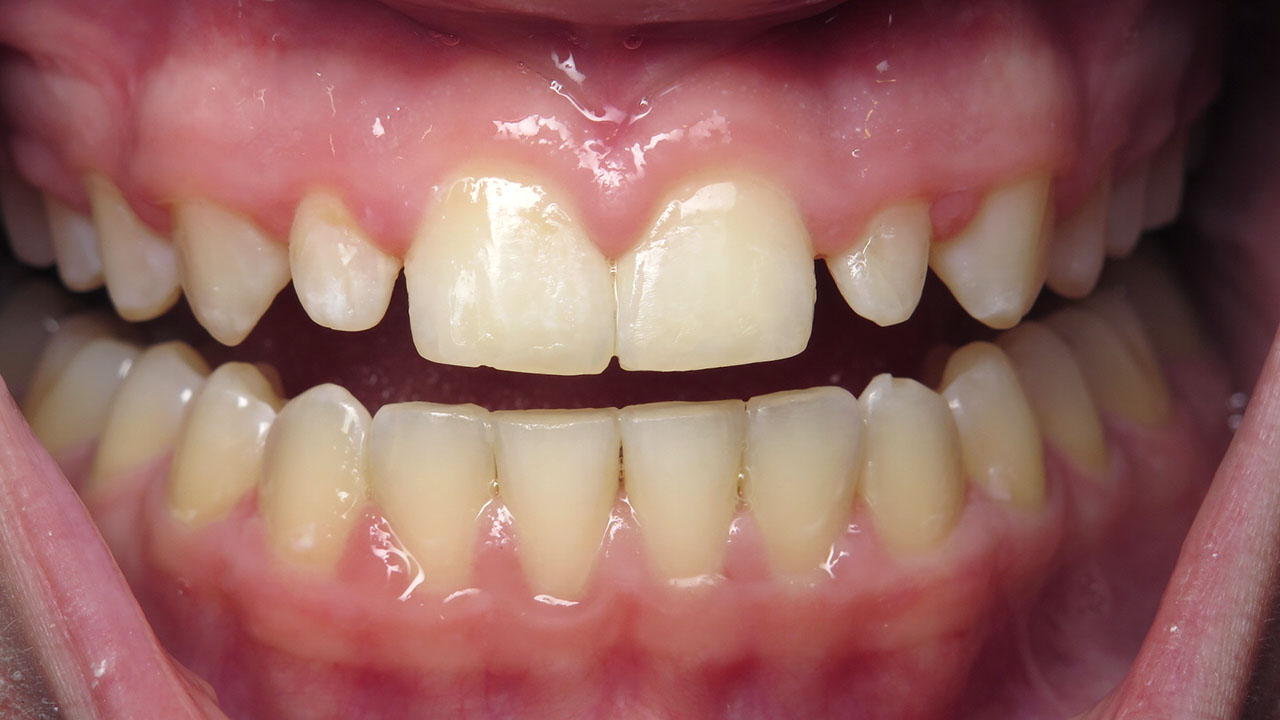
Concern
These patients were born with unusually small upper lateral incisors, known as peg laterals, creating spacing and an uneven smile.
Treatment
Lab-fabricated resin veneers to reshape the lateral incisors.
Procedures
Custom resin veneers fabricated in the laboratory and bonded to the lateral incisors.
Time
Completed over two weeks.
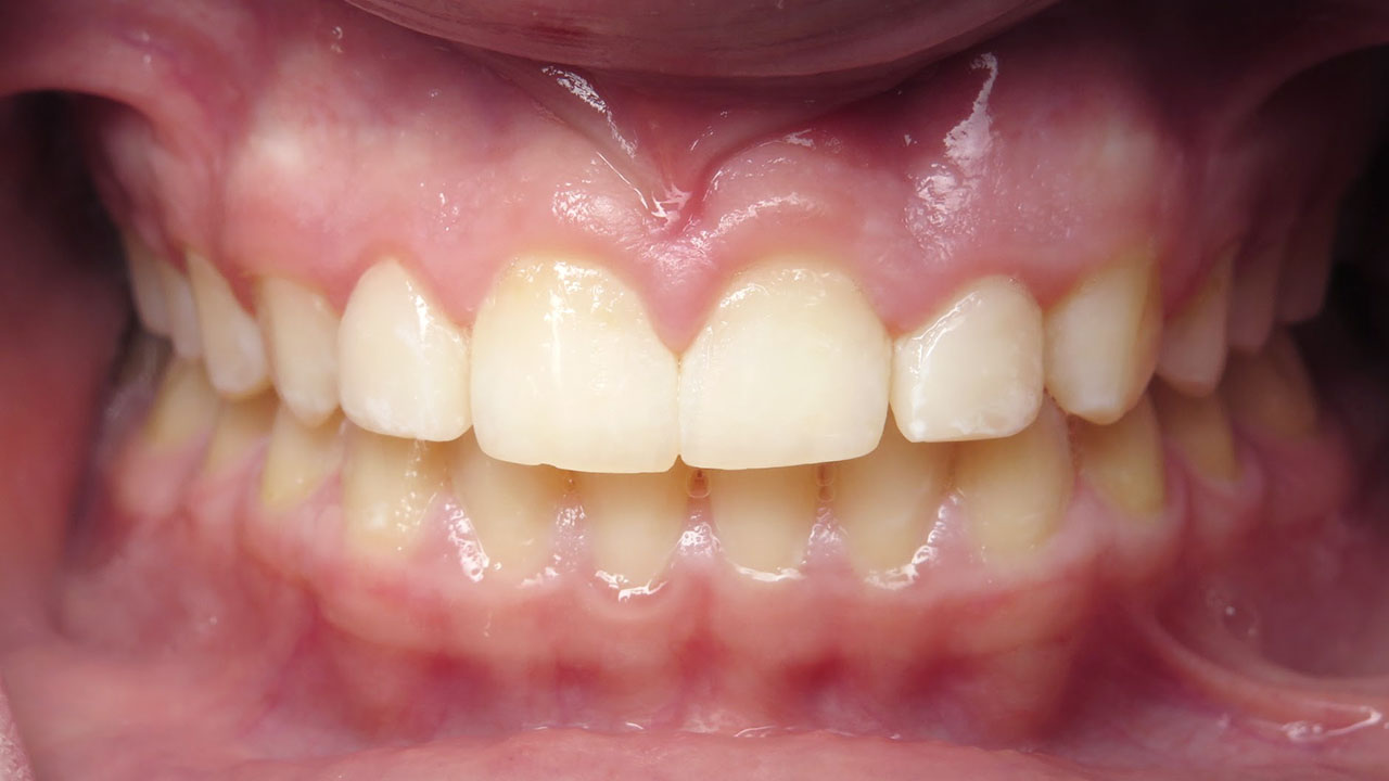
Outcome
The lateral incisors were restored to natural size and proportion, creating a balanced smile and improving the overall appearance of the teeth.




These patients were born with naturally small upper lateral incisors known as peg laterals. During orthodontic treatment, Dr. Klein worked closely with the orthodontist to ensure the teeth were positioned ideally so restorations could later correct their shape and proportions.
Once orthodontic treatment was completed, lab-fabricated resin veneers were bonded to the lateral incisors to restore natural size and symmetry.
Because the teeth were positioned correctly during orthodontic treatment, these veneers can often be completed with little or no removal of natural enamel.
For younger patients, resin veneers often serve as a long-term interim solution until facial growth and development are complete, typically in their mid-20s. At that time, porcelain veneers can be placed if desired.


