

Concern
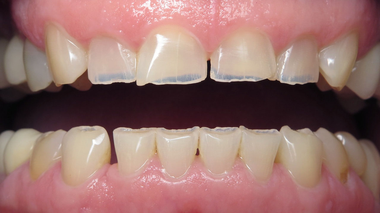
The patient had been diagnosed with sleep apnea and experienced severe tooth grinding. She noticed her front teeth becoming progressively thinner and sharper and was concerned about continued wear and damage.
Treatment
Conservative composite bonding to rebuild and protect the worn edges of the upper and lower front teeth.
Procedures
Composite bonding on seven upper teeth and eight lower teeth.
Time
Two treatment visits completed one week apart.
Outcome
The worn edges were rebuilt to protect exposed dentin, improve comfort, and restore a more natural appearance while allowing the patient time to consider more comprehensive treatment options in the future.




This patient had been diagnosed with sleep apnea and experienced significant tooth grinding. Although she wore a nightguard, she noticed she was also grinding during the day while working. Over time, the constant pressure had worn the edges of her front teeth very thin and sharp.
Several treatment options were discussed, including orthodontics with crowns on the front teeth or full mouth rehabilitation. The patient understood the long-term nature of the problem but was not ready for that level of treatment.
Instead, conservative bonding was used to rebuild the worn edges of the upper and lower front teeth. The treatment protected the exposed dentin and improved comfort and appearance while preserving future treatment options.


