

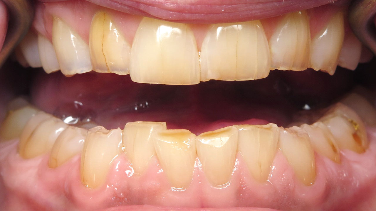
Concern
The patient noticed that her front teeth had become sharp and were catching her tongue and lip. She had also noticed darker areas developing near the edges of her upper front teeth. She was aware that she grinds her teeth and already wore a nightguard.
Treatment
Removal of early decay and conservative bonding to restore the worn edges of the upper and lower front teeth.
Procedures
Conservative composite bonding on six upper and six lower front teeth.
Time
Two treatment visits.
Outcome
The worn edges were restored to a smoother, more protective shape, improving function while protecting exposed dentin and early decay areas.




This patient came to the office because her front teeth had begun to feel sharp and were catching her tongue and lip during normal function. She had also noticed darker areas forming near the edges of her upper front teeth.
The patient was aware that she grinds her teeth and had been wearing a nightguard. Over time, the grinding had worn through the protective enamel on the edges of several teeth, exposing the underlying dentin. In some areas, early decay had begun to develop within the exposed dentin.
Treatment focused on removing the decay and conservatively restoring the worn edges of both the upper and lower front teeth. Composite bonding was used to rebuild the edges of twelve teeth so they could function more smoothly against each other while protecting the exposed dentin.
The treatment was completed over two visits and required no local anesthesia. Afterward, the patient was surprised by how much she liked the way her teeth looked, felt, and functioned.


