

Concern
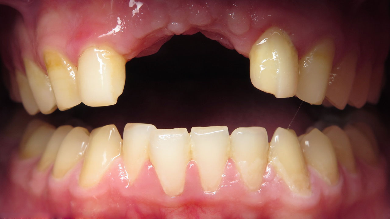
Severe work accident resulted in the loss of both upper front teeth and significant bone damage. The patient had previously attempted treatment elsewhere and arrived wearing a temporary plastic bridge that had been broken for several weeks.
Treatment
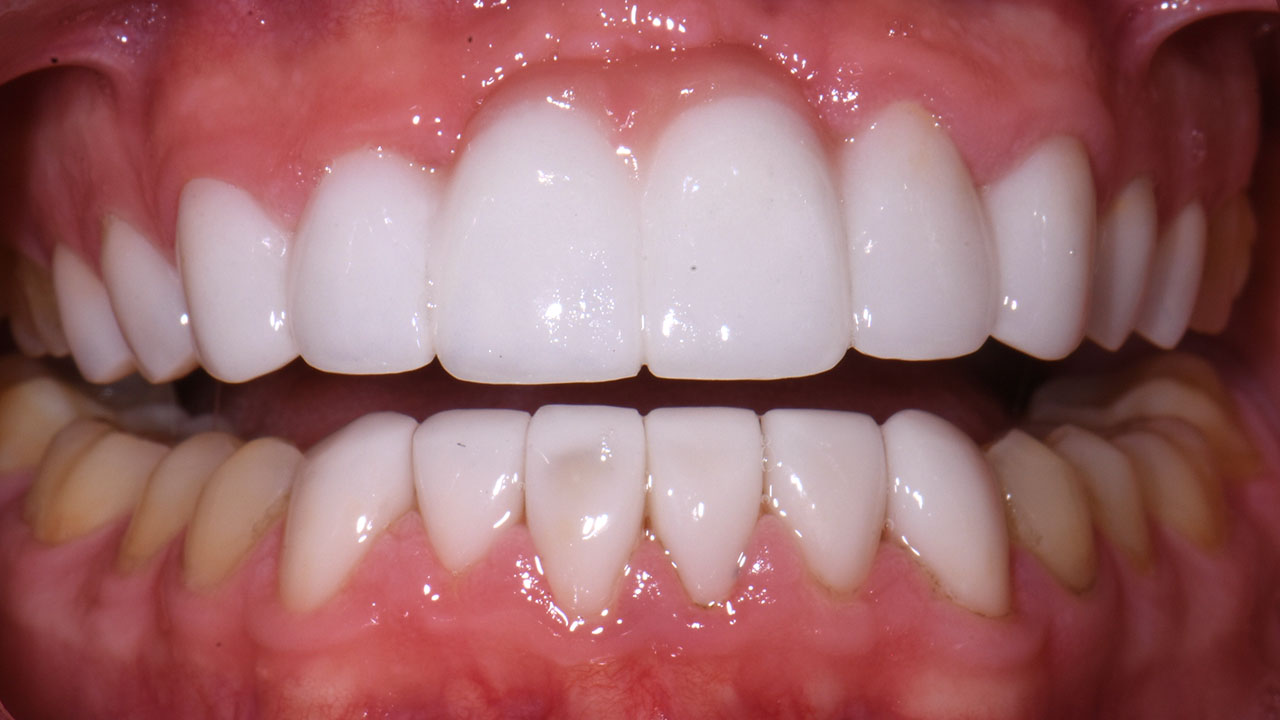
Cosmetic smile rehabilitation with veneers and a ceramic bridge.
Procedures
12 ceramic veneers and an all-ceramic bridge replacing the two missing front teeth.
Time
12 weeks.
Outcome
A complete smile transformation that restored the missing teeth while improving the overall shape, color, and balance of the patient's smile.




This young adult patient suffered a serious workplace accident that resulted in the loss of his two upper front teeth along with significant surrounding bone damage. He initially sought treatment in Mexico, where he underwent a root canal procedure and bone grafting in preparation for dental implants, returning home with a temporary plastic bridge.
After surgery he developed a severe infection and required treatment in the United States. When he eventually presented to our office after recovering, the temporary bridge fabricated elsewhere had been broken for several weeks.
A thorough evaluation showed that there was not enough healthy bone remaining for predictable implant placement and that the previous graft had failed. The patient also expressed interest in improving the appearance of his entire smile.
Treatment was designed to both replace the missing teeth and enhance the overall smile. Twelve ceramic veneers were placed on the upper teeth along with a custom all-ceramic bridge replacing the two missing front teeth.
The final result restored his smile, improved tooth proportions and facial balance, and gave the patient the confident, bright smile he was hoping for. The complete treatment was finished in approximately twelve weeks.


