

Concern
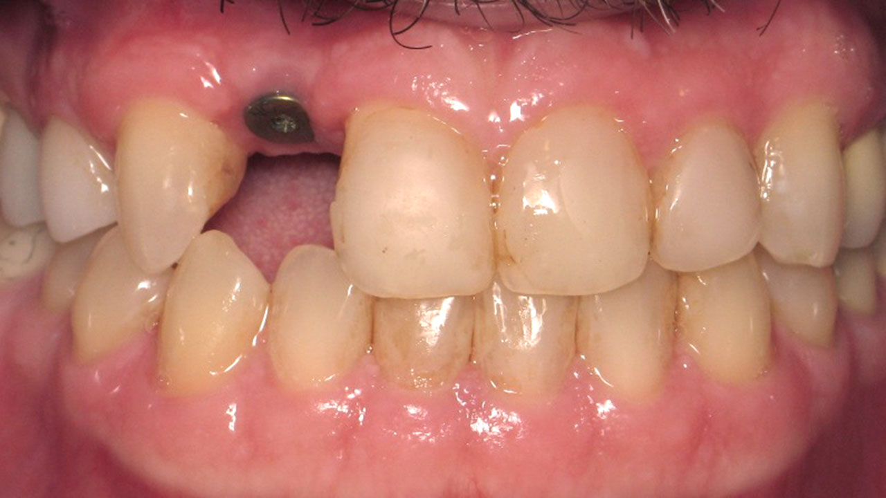
This patient broke a front tooth while biting into beef jerky. The tooth had previously been treated with a root canal and crown, and the injury caused the root to fracture. Because the fracture extended below the gumline, the tooth could not be saved.
Treatment
The damaged tooth was removed and replaced with a dental implant. Because the patient was also unhappy with the color and shape of his front teeth due to several older fillings, he chose to update his smile at the same time.
Procedures
Tooth extraction, single dental implant placement, implant-supported all-ceramic crown, and five additional all-ceramic crowns on the upper front teeth.
Time
Approximately 9 months of healing after implant placement followed by about 6 weeks to complete the final restorations.
Outcome
The implant replacement restored the missing tooth while the new crowns brightened and reshaped the surrounding teeth, creating the brighter, more uniform smile the patient wanted.




This patient fractured a front tooth while biting into beef jerky. The tooth had previously been treated with a root canal and crown many years earlier, and the injury caused the root to fracture below the gumline. Because of the extent of the fracture, the tooth could not be saved.
The tooth was removed and replaced with a dental implant to restore long-term function and stability.
During the planning process, the patient also shared that he had never been happy with the color and shape of his front teeth. Over time, several older fillings had been placed in these teeth, leaving them uneven in color and appearance. Because the implant would already be part of his treatment, he decided it was a good opportunity to improve the overall look of his smile as well.
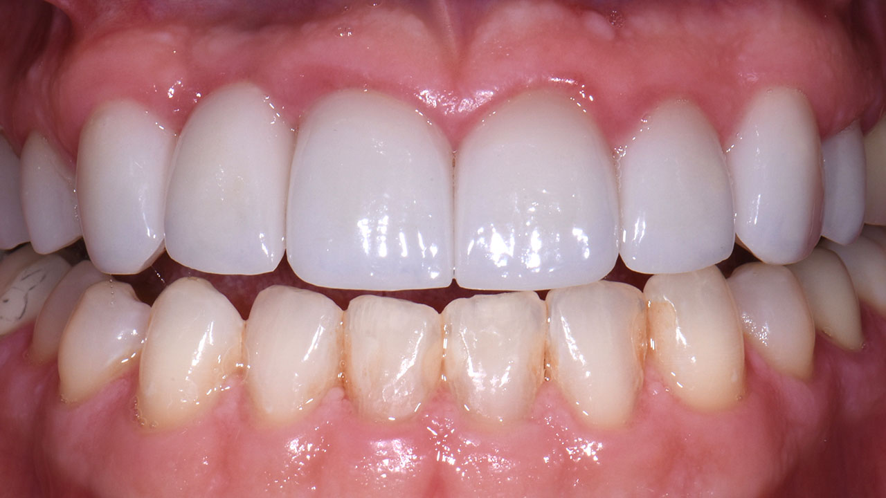
Five additional all-ceramic crowns were placed on the upper front teeth to brighten and reshape them. Once healing around the implant was complete, the final implant-supported crown was placed to match the new restorations.
The result is a brighter, more uniform smile that replaced the broken tooth while also improving the overall appearance of the patient's front teeth.


