
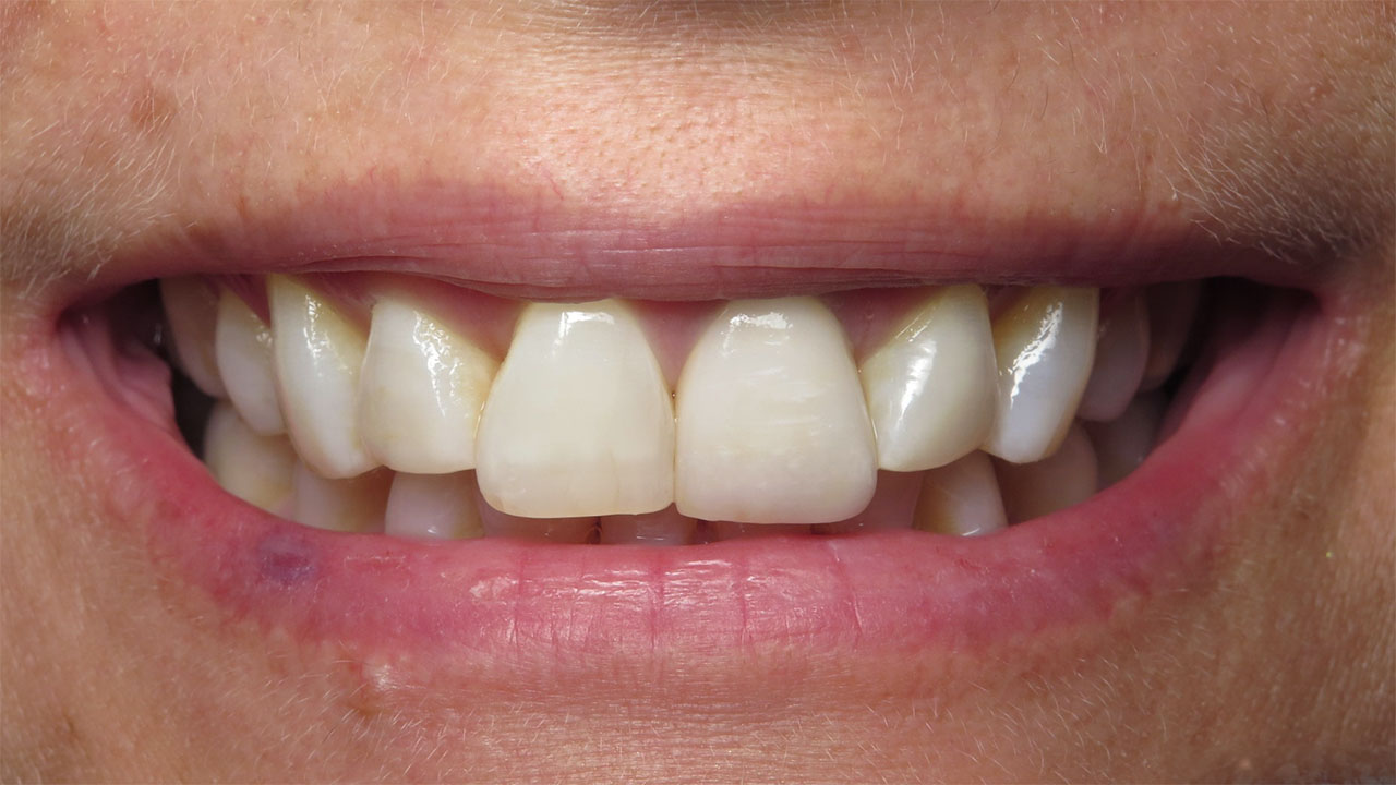
Concern
This patient injured her front tooth as a teenager and it was treated with a root canal and crown. Over time the crown began to drop lower than the neighboring teeth, making the smile look uneven.
Treatment
When the tooth was evaluated, it was found to have developed an infection and could no longer be saved. The tooth was removed and replaced with a single dental implant. A temporary crown was used to gently shape the surrounding gum tissue before the final crown was made.
Procedures
Tooth extraction, single dental implant placement, temporary implant crown for gum shaping, and final implant-supported all-ceramic crown.
Time
Approximately 9–12 months from implant placement to the final crown, including about 6 months of shaping the gum tissue with a temporary crown.
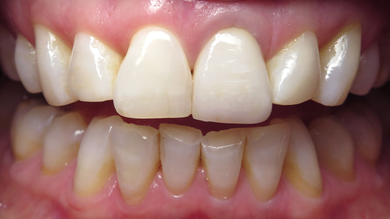
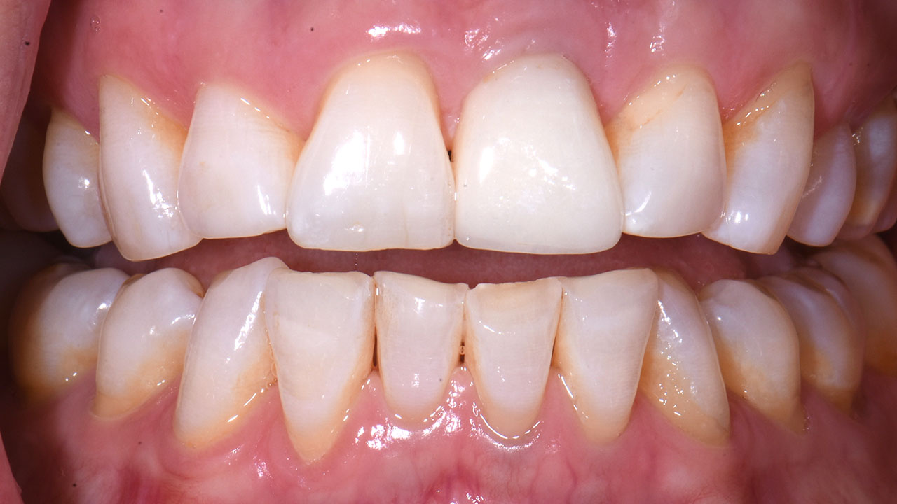
Outcome
The implant-supported crown blends naturally with the surrounding teeth, restoring a balanced and natural-looking smile.




This patient injured her front tooth as a teenager and it was treated with a root canal and crown. For many years the tooth functioned well, but over time the crown gradually dropped lower than the surrounding teeth, making the difference noticeable when she smiled.
When the tooth was evaluated, it was discovered that an infection had developed around the previously treated tooth. Because the infection could not be resolved, the tooth ultimately had to be removed.
A dental implant was placed to replace the missing tooth and restore long-term stability. After the implant healed, a temporary crown was placed on the implant. This temporary crown was carefully adjusted over several months to gently guide the gum tissue into a natural shape that would match the neighboring teeth.
Once the gum tissue had fully adapted, a final all-ceramic crown was made and placed on the implant. The new tooth blends naturally with the surrounding teeth and restores a comfortable, confident smile.


