

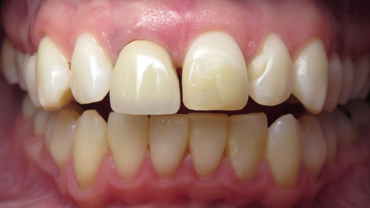
Concern
A childhood injury damaged a front tooth that required root canal treatment and a crown. Over time the tooth gradually shifted out of position, making the smile appear uneven and drawing attention to the crown.
Treatment
Orthodontics was completed first to improve tooth position and spacing. The crown was replaced for a more natural appearance. When the previously injured tooth later developed an infection and could no longer be saved, it was replaced with a dental implant.
Procedures
Orthodontics, tooth extraction, single dental implant placement, implant-supported all-ceramic crown, teeth whitening, and two cosmetic composite restorations.
Time
Approximately 6 years of staged treatment (including 18 months of orthodontics).
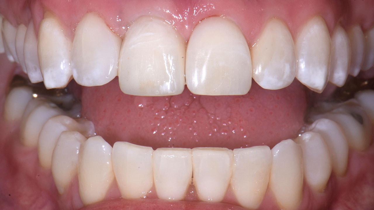
Outcome
The implant replacement blends naturally with the surrounding teeth, restoring symmetry and giving the patient a confident, natural-looking smile.




This patient experienced significant trauma to a front tooth during childhood. The injury required root canal treatment and placement of a crown to restore the tooth. Over time, natural growth and tooth movement caused the crowned tooth to shift out of alignment with the surrounding teeth. As the difference became more noticeable, the patient grew increasingly self-conscious about the appearance of her smile.
Orthodontic treatment was completed first to improve tooth position and create ideal spacing. After 18 months of orthodontics, the crown was replaced with a new restoration designed to better match the surrounding teeth and fit the improved alignment.
Two years later, however, the previously injured tooth developed an infection that could not be resolved, and the tooth ultimately had to be removed. A dental implant was placed to replace the missing tooth and restore long-term stability.
The final stage of treatment included professional whitening and two small composite restorations to refine the surrounding teeth and create a balanced smile. The implant-supported ceramic crown blends seamlessly with the adjacent teeth, completing a treatment journey that unfolded over several years and ultimately restored both confidence and function.


