

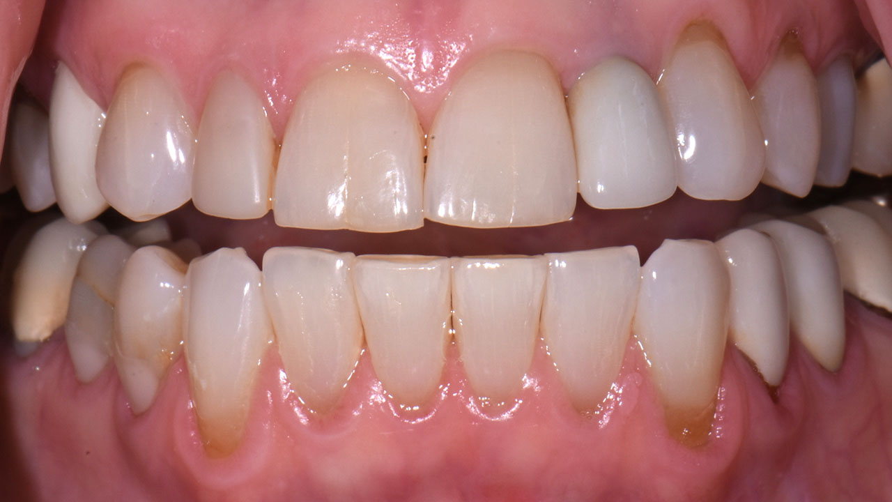
Concern
Over the years this patient had dental work completed at different times, leaving noticeable differences in color and appearance across her front teeth. She had also previously lost a front tooth that had been replaced with an implant-supported crown. As she prepared for retirement, she wanted to refresh and brighten her smile.
Treatment
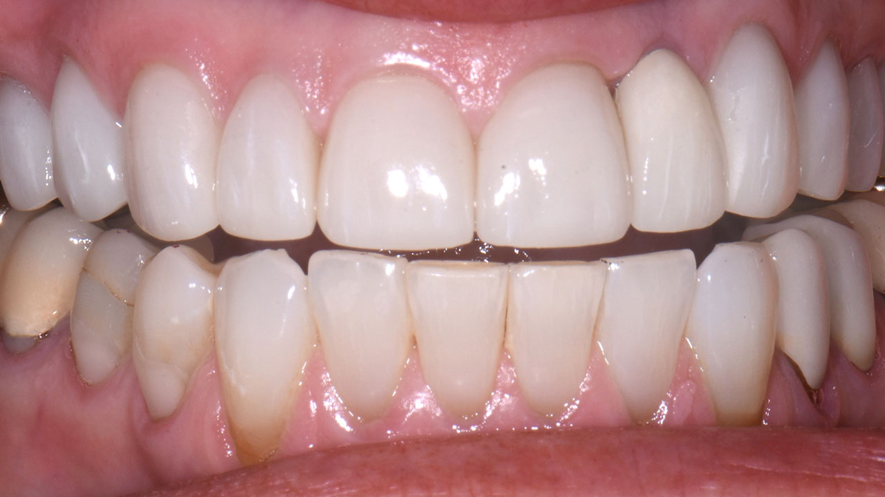
A cosmetic treatment plan was designed to bring the color, shape, and overall appearance of the front teeth into harmony while keeping the existing implant.
Procedures
Six porcelain veneers, four all-ceramic crowns, replacement of the implant-supported crown, and whitening of the lower teeth.
Time
Approximately 6 weeks total treatment time, beginning with whitening and followed by restorative treatment three weeks later.
Outcome
The updated restorations created a brighter, more uniform smile while blending naturally with the existing implant.




Over many years this patient had dental work completed at different times, which left her front teeth with noticeable differences in color and appearance. She had also previously lost a front tooth that had been replaced with an implant-supported crown.
As she prepared for retirement, she decided it was the right time to refresh her smile and create a more uniform appearance.
Treatment began with whitening the lower teeth. The upper front teeth were then restored with a combination of porcelain veneers and all-ceramic crowns to improve their color, shape, and balance. The implant crown was also replaced so it would match the new restorations.
The result is a brighter, more consistent smile that still looks natural and fits comfortably with the surrounding teeth.


