

Concern
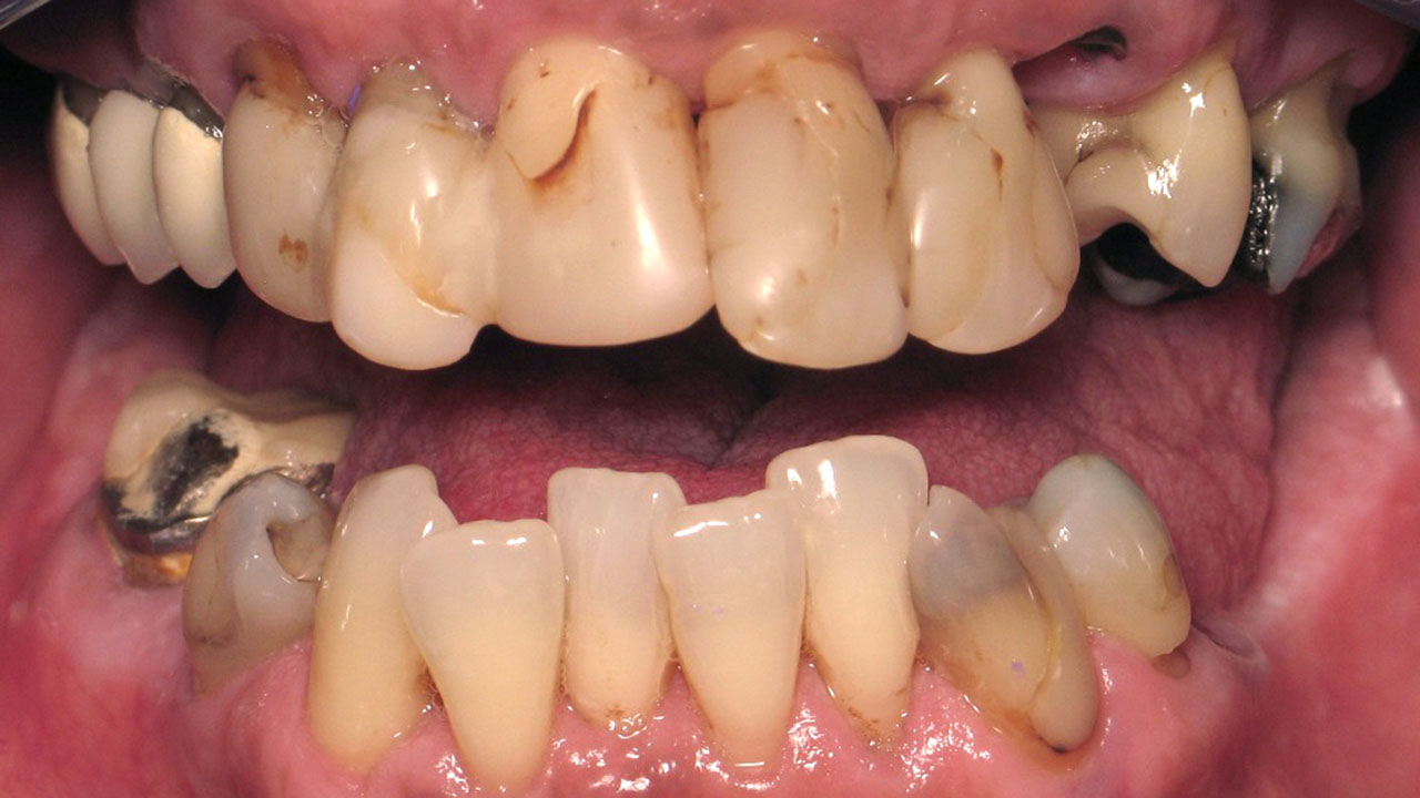
This patient had avoided dental care for many years and felt embarrassed about her smile—so much so that she would not smile in her initial photo. Many upper teeth were affected by severe periodontal disease and decay, and several lower teeth were missing or not salvageable.
Treatment
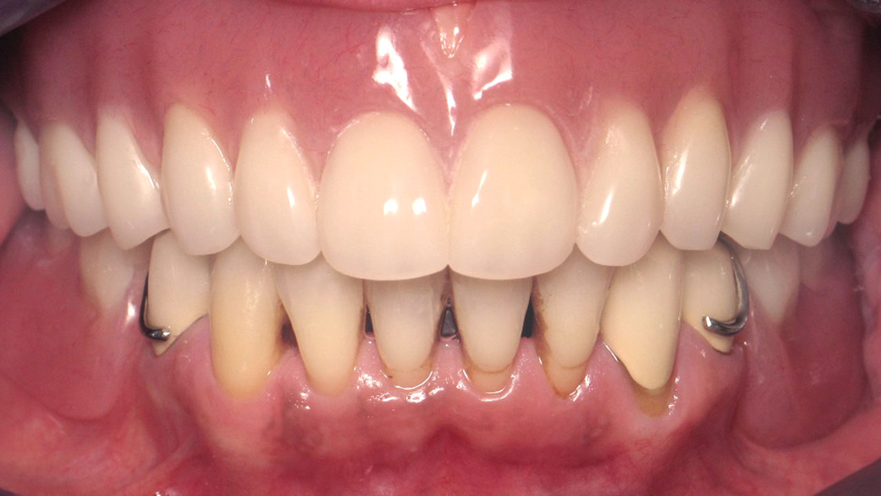
Removal of the remaining upper teeth and select lower back teeth, placement of an interim upper denture, orthodontic treatment to align crowded lower front teeth, followed by a final upper complete denture and lower partial denture.
Procedures
Extractions, interim upper denture, orthodontic treatment of lower front teeth, final upper complete denture, lower partial denture.
Time
Approximately 9 months of healing and orthodontic treatment before fabrication of the final prostheses.
Outcome
A healthy, stable smile that restored function and appearance—and gave her the confidence to smile again.




This patient came in after many years without dental care because she felt embarrassed about her smile. At her first visit she was so self-conscious that she would not smile in her photograph.
Evaluation showed severe periodontal disease and decay affecting many of the upper teeth. Several lower teeth were missing, and others were not salvageable. The plan included removal of the remaining upper teeth and select lower back teeth, with an interim upper denture placed at the time of extraction.
Because the lower front teeth were severely crowded, orthodontic treatment was recommended to align them before fabricating the final lower partial denture. Orthodontic treatment was completed while healing took place from the extractions.
After approximately nine months, her final upper complete denture and lower partial denture were fabricated. She was thrilled with the result and said she never imagined she could love her smile again.


