

Concern
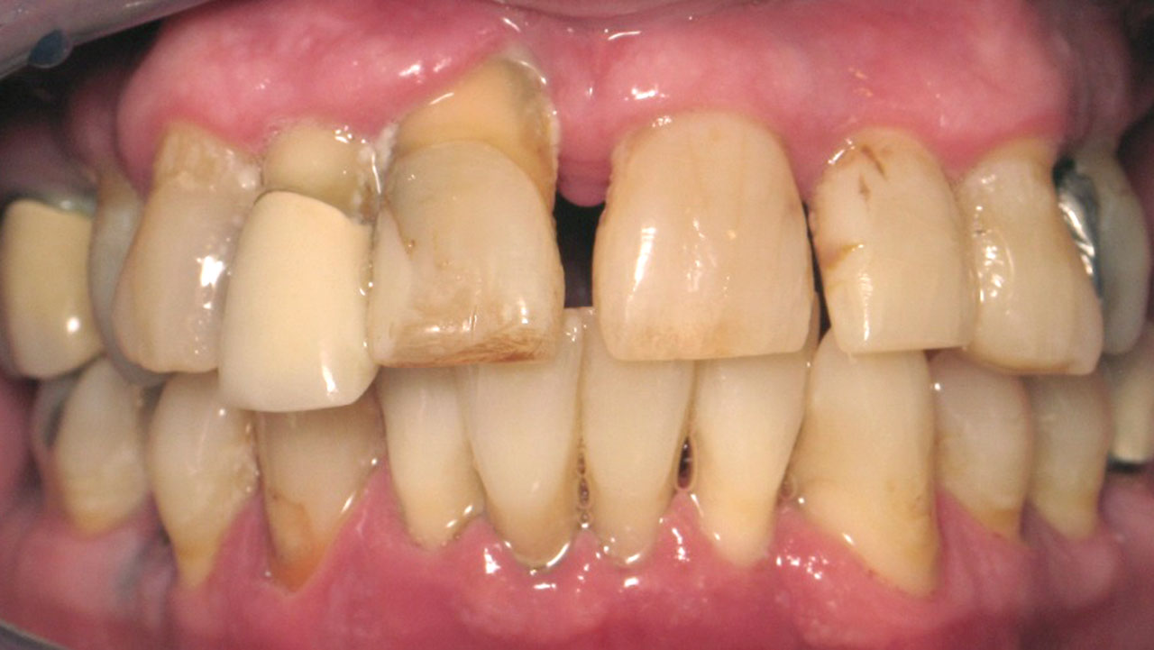
After years of putting his own health behind life's more immediate demands, this patient came in knowing he needed help. Many teeth were failing due to severe periodontal disease, making it difficult to maintain function and a healthy smile.
Treatment
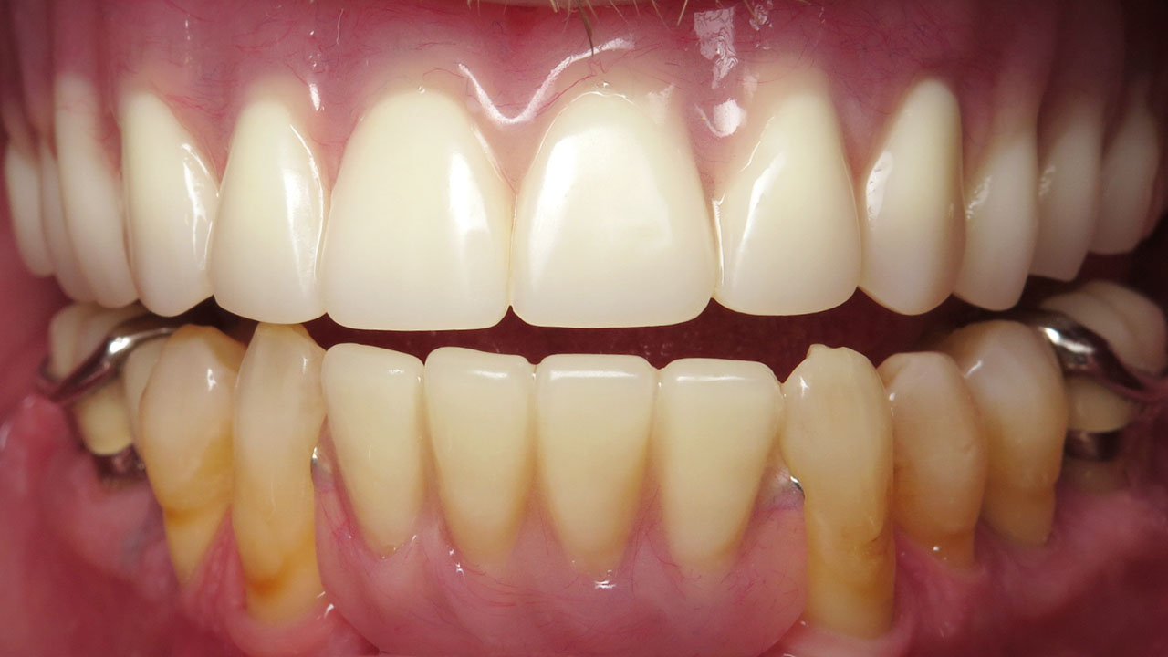
Removal of remaining upper teeth and lower back teeth, interim upper denture at the time of extraction, periodontal treatment, followed by a final upper complete denture and lower partial denture after healing.
Procedures
Extractions, non-surgical periodontal therapy, immediate interim denture, final upper complete denture, lower partial denture.
Time
Approximately 12 months of healing before fabrication of the final dentures.
Outcome
A healthier, stable smile that restored chewing ability, appearance, and confidence.




Dr. Klein first met this patient while work was being done on his home. After getting to know each other, the patient eventually said, "Doc, I think I need your help more than you need mine." As a widower and single father, he had spent years putting his own health behind life's more pressing responsibilities.
At his comprehensive evaluation, it was clear that many of his teeth were unsalvageable due to severe periodontal disease. The plan was to remove the remaining upper teeth and lower back teeth, place an interim upper denture at the time of extraction, treat the periodontal disease, and allow time for healing.
He wore the interim denture for about a year before we fabricated his final upper complete denture and lower partial denture. More than ten years later, he still becomes emotional talking about how much this treatment changed his life.


