

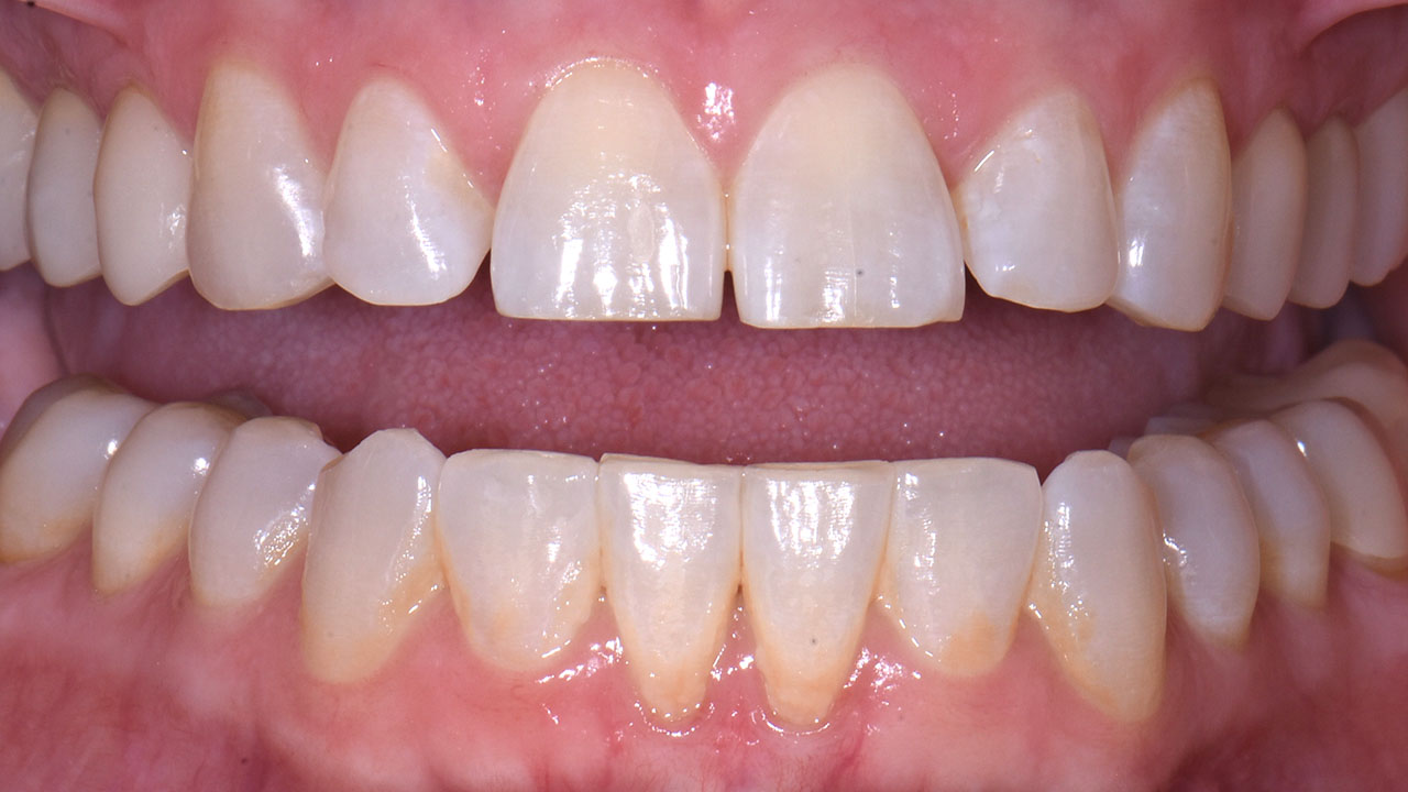
Concern
This patient was unhappy with several aspects of her smile, including the shade of her teeth, flat and sharp tooth edges, spacing between the front teeth, and a slight forward flare.
Treatment
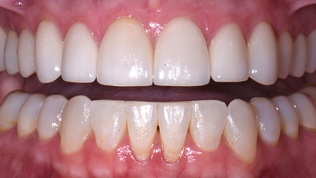
Porcelain veneers to improve color, shape, and alignment of the front teeth.
Procedures
Six porcelain veneers.
Time
Approximately five weeks.
Outcome
The veneers created a brighter, more balanced smile with improved tooth shape and alignment.




This patient was unhappy with the overall appearance of her smile. Her teeth had spacing, a slight forward flare, flat incisal edges, and sharp corners that gave the teeth a less natural appearance.
Orthodontic treatment combined with minor reshaping of the teeth was recommended as one option to address the alignment concerns. After consulting with an orthodontist and considering the longer treatment time involved, the patient chose porcelain veneers as a faster way to achieve the improvements she wanted.
Six porcelain veneers were designed to improve the shade, shape, and alignment of the front teeth while maintaining a natural appearance. The treatment was completed in approximately five weeks, allowing the patient to achieve the smile she wanted without the extended time commitment of orthodontic treatment.
She was thrilled with the result and loved being able to complete the transformation in a relatively short amount of time.


