

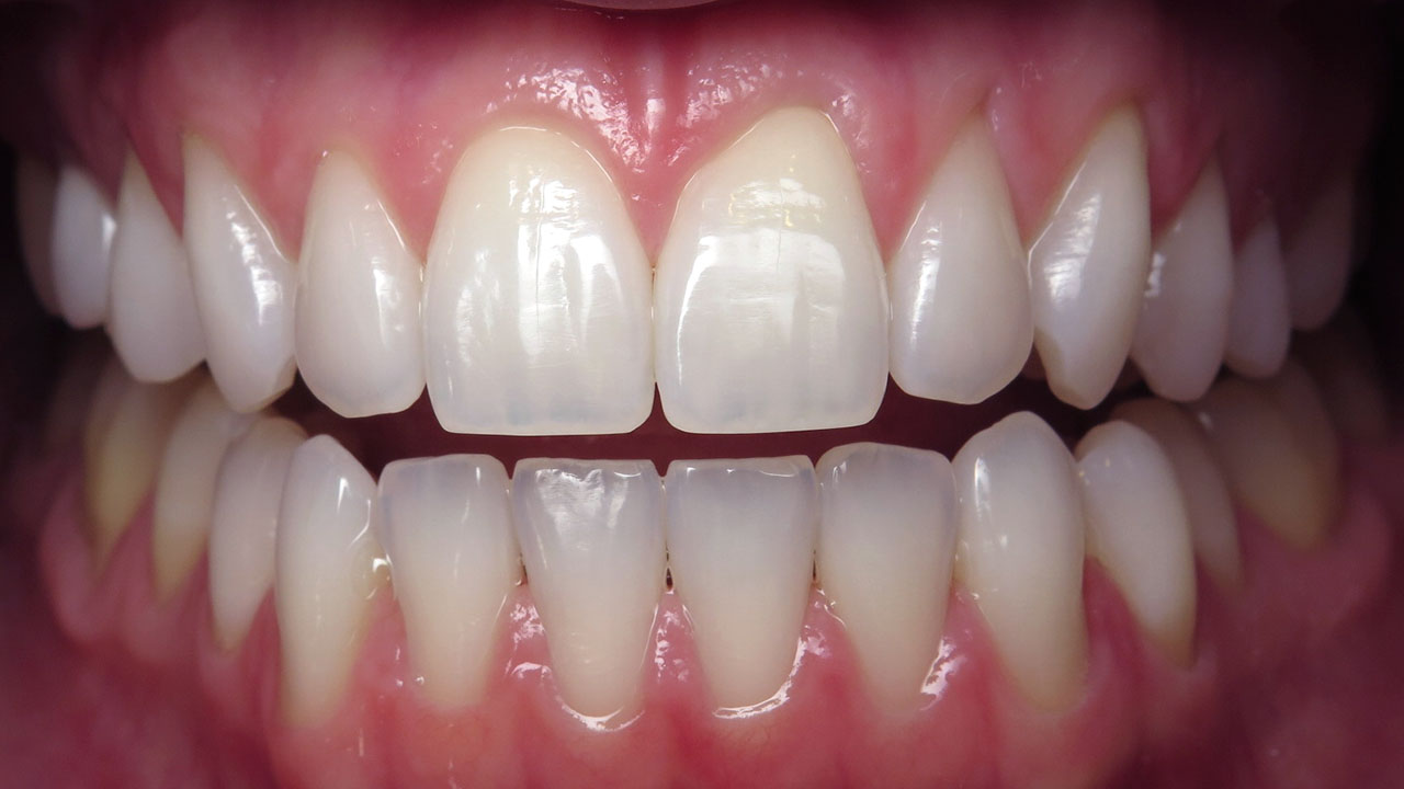
Concern
This patient suffered a fall that fractured her two front teeth. She had always loved her natural teeth and was devastated by the sudden change in her smile, feeling very self-conscious about the damage.
Treatment
Emergency stabilization followed by porcelain veneers to restore the natural appearance of the front teeth.
Procedures
Immediate temporary repair of fractured teeth, followed by porcelain veneers.
Time
Emergency repair completed immediately, followed by veneer placement approximately three weeks later.
Outcome
The veneers restored the natural shape and appearance of the teeth, allowing the patient to feel confident about her smile again.


This patient experienced a fall that fractured her two front teeth. Because she had always loved her natural smile, the sudden damage was emotionally difficult and left her feeling very self-conscious.
She was seen right away so the fractured teeth could be repaired temporarily, allowing her to return to normal daily life without having to live with visibly broken teeth. Once the teeth were stabilized and treatment could be planned carefully, porcelain veneers were designed to restore the natural shape and appearance of her front teeth.
Three weeks later, the veneers were placed, recreating a natural smile that closely matched her original teeth. The result allowed her to feel confident in her smile again.


