

Concern
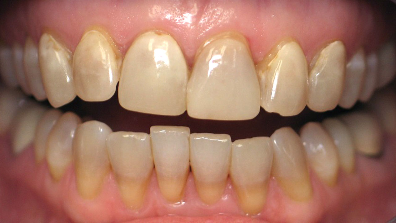
This patient had tetracycline staining that had originally been treated with porcelain veneers more than 15 years earlier. Over time, the veneers and surrounding teeth had darkened, and the smile no longer appeared as bright or natural as the patient would have liked.
Treatment
Replacement of the existing porcelain veneers after whitening to improve the underlying tooth color.
Procedures
Professional teeth whitening followed by replacement of the upper porcelain veneers.
Time
Six weeks of whitening followed by approximately four weeks of restorative treatment.
Outcome
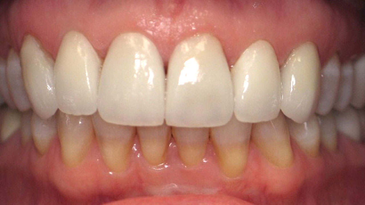
New porcelain veneers created a brighter, more natural appearance while maintaining a smile that looks balanced and healthy.




This patient originally received porcelain veneers to mask tetracycline staining many years earlier. After more than 15 years, the veneers had begun to show their age and the surrounding teeth had darkened, leaving the smile looking dull and less natural.
Treatment began with six weeks of whitening to improve the underlying tooth color and create a better foundation for the new restorations. Once the shade was stabilized, the original veneers were carefully replaced with new porcelain veneers designed to improve brightness, shape, and overall harmony with the patient's facial features.
The final result refreshed the smile while preserving a natural appearance and long-term stability.


