

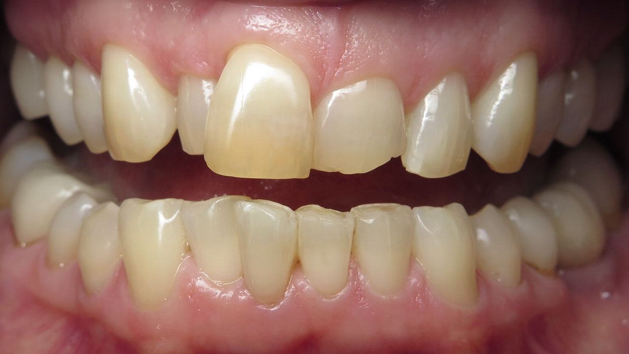
Concern
This patient was unhappy with the crooked appearance of her front teeth and initially asked whether veneers could be used to straighten them. The teeth were too crowded to be corrected with veneers alone, and years of grinding had also caused significant wear and irregular tooth edges.
Treatment
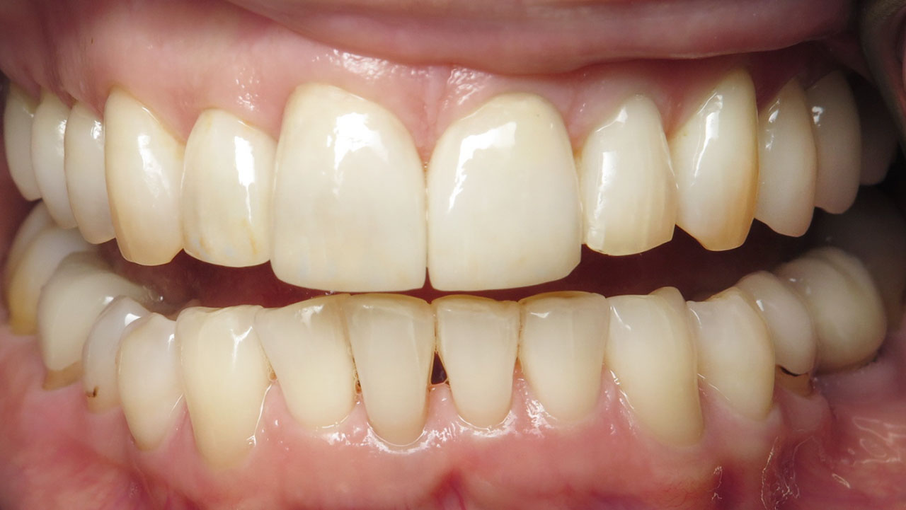
Orthodontic treatment followed by porcelain veneers to restore natural tooth shape and alignment.
Procedures
Orthodontic treatment, four porcelain veneers, and odontoplasty to smooth the lower front teeth.
Time
12 months of orthodontics followed by approximately four weeks of restorative treatment.
Outcome
Orthodontics positioned the teeth properly so veneers could restore their natural shape, creating a balanced and natural-looking smile.




This patient was bothered by the crooked appearance of her front teeth and initially asked if veneers could be used to straighten them. However, the teeth were too crowded to achieve a natural result with veneers alone.
Orthodontic treatment was used first to move the teeth into ideal positions. Years of grinding had also caused wear and irregular edges on the teeth, which affected both their appearance and shape.
After 12 months of orthodontic treatment, four porcelain veneers were placed to restore the natural contours of the upper front teeth. Odontoplasty was also used to smooth the worn edges of the lower front teeth, helping the upper and lower teeth work together more naturally.
The final result created a straighter, more balanced smile while restoring the natural shape that had been lost from wear. The patient was thrilled with the outcome.


