
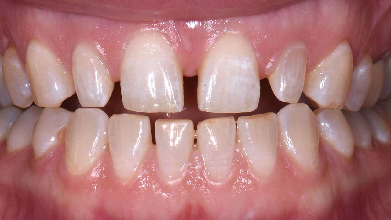
Concern
This patient was born with very small, triangular-shaped teeth and larger jaw proportions, which created significant spacing between the front teeth. Bonding had been placed when she was a teenager, but she disliked the unnatural shapes and the way the spaces still showed around the teeth.
Treatment
Orthodontic treatment followed by porcelain veneers to create natural tooth proportions and close the spaces.
Procedures
Removal of old bonding, orthodontic treatment, and placement of six porcelain veneers.
Time
15 months of orthodontics followed by approximately six weeks of restorative treatment.
Outcome
Orthodontics positioned the teeth ideally so veneers could be shaped naturally, creating a balanced smile that fits the patient's face.




This patient had naturally small, triangular-shaped teeth and larger jaw proportions, which created noticeable spacing between her front teeth. Bonding had been placed during her teenage years in an attempt to close the spaces, but the shapes looked unnatural and the spaces around the teeth remained visible.
To achieve a more natural and long-lasting result, the original bonding was first removed so the true shape of the teeth could be evaluated. Orthodontic treatment was then used to move the teeth into ideal positions and create the proper spacing needed to design natural-looking restorations.
After 15 months of orthodontic treatment, six porcelain veneers were placed to create natural tooth proportions and close the spaces in a balanced way. Because the teeth had first been positioned properly, the final veneers could be shaped in a way that looks harmonious and natural within the patient's smile.


